Voriges Präparat Index Nächstes Präparat   [a] [b] [c] [d]
 

Präparat 44: Glandula sublingualis, Azan

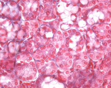
[Bild]
Parenchym

Gesamtheit der organspeziellen Zellen, die die spezifische Funktion eines Organs bedingen.

Lobulus

Läppchen, häufig werden Organe von aus der Kapsel einstrahlenden, mehr oder weniger derben Bindegewebszügen in Lappen und/oder Läppchen unterteilt.

Muköse sekretorische Drüsen

zähflüssigen, enzymarmen Schleim bildende Drüsen mit relativ weitem Lumen. Die Zellkerne der Endstückzellen liegen basal und sind abgeplattet, apikal findet sich muzinhaltiger Schleim.

Muköser Tubulus

Endstück einer mukösen Drüse; die Zellen weisen ein wabig aussehendes Zytoplasma auf, ihre Zellkerne sind abgeplattet und liegen basal, während sich apikal der muzinhaltige Schleim befindet. Das Lumen der mukösen Tubuli ist meist relativ weit. Am Ende der mukösen Tubuli liegen seröse Zellen, die eine Endkappe bilden.

Das Parenchym der Lobuli besteht zum größten Teil aus mukösen sekretorischen Drüsenzellen, die zu mukösen Tubuli zusammengefaßt sind. Diese Zellen sind leicht an ihrem ungefärbten, wabig erscheinenden Zytoplasma zu erkennen. Die Zellen sind typischerweise dreieckig mit gut erkennbaren Zellgrenzen; etwa fünf bis acht von ihnen gruppieren sich im Querschnitt eines Tubulus um ein zentrales Lumen. Zwischen den serösen und mukösen Drüsenabschnitten befinden sich Schaltstücke.