Voriges Präparat Index Nächstes Präparat   [a] [b] [c] [d] [e]
 

Präparat 42: Glandula parotidea, H.-E.

[Bild]
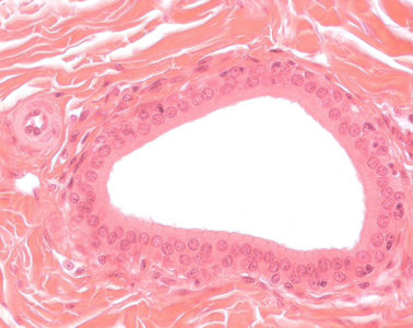
Ausführungsgänge

Verbindungen von exokrinen Drüsen mit inneren oder äußeren Oberflächen

Pankreas

Bauchspeicheldrüse; exokrine und endokrine Drüse, die sich mit ihrem Kopf in die Konkavität des Duodenums legt und mit dem Schwanz das Milzhilum erreicht. Ihr Ausführungsgang, Ductus pancreaticus, mündet gemeinsam mit dem Ductus choledochus auf der Papilla duodeni major der Pars descendens des Duodenums. Der exokrine Teil des Pankreas besteht aus einer rein serösen, tubuloazinösen Drüse. Die Enzyme des Bauchspeichels dienen der Verdauung von Proteinen, Kohlenhydraten und Fetten. Das endokrine Pankreas wird von der Gesamtheit der Langerhansschen Inseln gebildet, diese stellen sich als rundliche, seltener längliche Zellkomplexe dar, die sich im histologischen Schnitt deutlich vom exokrinen Pankreasgewebe abheben. Funktionell lassen sich A-Zellen (bilden Glukagon), B-Zellen (bilden Insulin) und D- Zellen (bilden Somatostatin) unterscheiden.

Die weiteren Abschnitte des Ausführungsgangsystems finden sich interlobulär, d.h. in den Bindegewebssepten zwischen den Drüsenlappen. Die größeren interlobulären Ausführungsgänge zeichnen sich durch ein zwei- bis mehrreihiges hochprismatisches Epithel aus. Im interlobulären Bindegewebe finden sich außerdem Nester von univakuolären Fettzellen, Arterien und Venen und zahlreiche periphere Nervenanschnitte des Plexus parotideus des Nervus facialis. In einigen Präparaten finden sich Reste quergestreifter Skelettmuskulatur am Rand der Drüse.

DD: Verwechslung mit anderen Mundspeicheldrüsen und mit dem Pankreas möglich. Typisch: völliges Fehlen muköser Drüsenanteile (die in den übrigen Mundspeicheldrüsen vorkommen), Fehlen von endokrinen Langerhans-Inseln (die im Pankreas vorkommen), Vorkommen von Streifenstücken (die im Pankreas fehlen). Hilfskriterium: die zahlreichen großen Nervenanschnitte des Plexus parotideus im interlobulären Bindegewebe sind typisch für die Glandula parotidea.