Voriges Präparat Index Nächstes Präparat   [a] [b] [c] [d] [e]
 

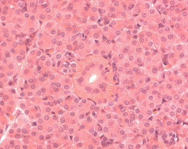
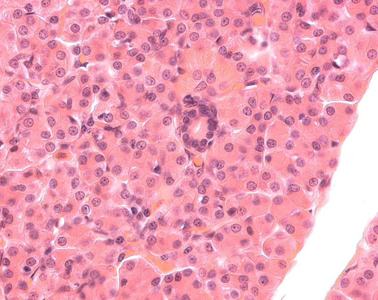
Präparat 42: Glandula parotidea, H.-E.

[Bild]
Schaltstücke

Abschnitt des Ausführungsgangsystems einer exokrinen Drüse, der das Sekret aus den Endstücken der Azini befördert; die englumigen Schaltstücke sind meist kurz und von plattem bis isoprismatischem Epithel ausgekleidet.

isoprismatisches Epithel

besteht aus Zellen, die annähernd gleich hoch und breit sind, liegt meistens als einschichtiges Epithel vor, dient Austauschvorgängen und kommt z. B. im Tubulussystem der Niere und in Ausführungsgängen exokriner Drüsen vor.

Azinus

kugelförmiges Drüsenendstück; es besteht aus Drüsenzellen, die von einer Basallamina umgeben sind. Häufig finden sich basal im Epithelverband Myoepithelzellen mit kontraktilen Filamenten. Die Drüsenzellen weisen eine polare Gliederung auf: Basal finden sich die für die Sekretbildung benötigten Zellorganellen, hier erfolgt außerdem die Aufnahme der erforderlichen Stoffe aus dem Blut. Apikal wird das Sekret in das enge, häufig im Lichtmikroskop kaum erkennbare Lumen des Azinus abgegeben.

Myoepithelzellen

den Endstücken einiger Drüsen (z.B. Speicheldrüsen, Brustdrüse) anliegende langgestreckte oder sternförmige Zellen mit zentral gelegenem Zellkern und langen Zytoplasmafortsätzen. Sie sind epithelialer Herkunft und kontraktil. Sie enthalten Aktin- und Myosinfilamente. Durch Desmosomen stehen sie in Kontakt mit den Drüsenzellen und umfangen das Drüsenendstück krakenförmig.

Die sich an die Azini anschließenden Schaltstücke der Drüse sind im Querschnitt leicht an der regelmäßigen Anordnung der Zellkerne (etwa acht bis zwölf) zu erkennen. Ihr plattes bis isoprismatisches Epithel umgibt ein oft erkennbares kleines Lumen. Der Durchmesser der quergetroffenen Schaltstücke ist etwas geringer als der eines typischen Azinus, die Zellkerne sind kleiner und dunkler als die der Azini. Außen auf den Schaltstücken liegen mitunter flache Zellkerne, die gleichsinnig zur Krümmung der Wand der Schaltstücke gebogen sind. Sie gehören zu den Myoepithelzellen der Schaltstücke.