Voriges Präparat Index Nächstes Präparat   [a] [b] [c] [d]
 

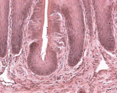
Präparat 51: Zunge (Kaninchen), Papillae foliatae, H.-E.

[Bild]
Papilla foliata

blattförmiger, beim Menschen nur undeutlich ausgeprägter Papillentyp, der am hinteren Abschnitt des Zungenrandes zu finden ist. In ihren seitlichen Wandungen enthalten die Papillen zahlreiche Geschmacksknospen; in die Gräben, die benachbarte Papillae foliatae voneinander trennen, münden die Ausführungsgänge seröser Spüldrüsen.

Geschmacksknospen

Caliculi gustatorii, sie bilden zusammen mit freien Nervenendigungen der Zungenschleimhaut das Geschmacksorgan, Organum gustus. Die Geschmacksknospen liegen gehäuft im Epithel der Papillae vallatae und foliatae im hinteren Drittel der Zunge. Sie bestehen aus Stütz- und Geschmackszellen, die zwiebelschalenartig aneinandergelagert sind. Zur Mundhöhle öffnet sich jede Geschmacksknospe mit einem Geschmacksgrübchen, Porus gustatorius. In diese Öffnung ragen Mikrovilli der Geschmackszellen mit Chemorezeptoren hinein. Die Geschmackszellen gehören zu den sekundären Sinneszellen, sie werden korbgeflechtartig von Nervenfasern aus den sensorischen Ganglien umhüllt.

An den Seiten der Papillae foliatae finden sich die charakteristischen Geschmacksknospen im Epithel.