Voriges Präparat Index Nächstes Präparat   [a] [b] [c]
 

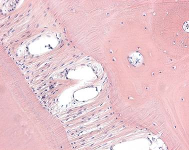
Präparat 48: Zähne des Unterkiefers im Wurzelbereich (Affe), Querschnitt, H.-E.

[Bild]
Zahnhalteapparat

Parodontium; Zahnbett aus Zement, Periodontium (Wurzelhaut) und Alveolarknochen: Der Zahnzement bildet die Hülle des Zahns im Bereich der Wurzel; er besteht aus Zementozyten, Kollagenfibrillen und verkalkter Grundsubstanz. Das Periodontium füllt die Lücke zwischen der Oberfläche des Zements und den Alveolarfortsätzen. Das Periodontium dient der Befestigung der Zähne und der Pufferung des Kaudrucks.

Zahnzement

Nur an der Wurzel vorhandene Substanz, die Geflechtknochen gleicht. Zement besteht aus Zementozyten, die Osteozyten gleichen, sowie Kollagenfibrillen und verkalkter Grundsubstanz.

Dentin

Zahnbein; besteht aus anorganischen Bestandteilen (ca. 90 %), organischer Matrix (ca. 20 % ) und Wasser (ca. 10%). Dentin wird von den Odontoblasten gebildet, sie haben einen langen Fortsatz, der in Dentinkanälchen bis an die Grenze des Dentins zieht. Hierdurch entsteht die charakteristische radiäre Streifung des Dentins. Die Kanälchen sind von einer festen, dichten Hülle von peritubulärem Dentin umgeben (Neumann-Scheide), dazwischen findet sich das weniger dichte intertubuläre Dentin mit vorwiegend in Längsrichtung des Zahns verlaufenden Kollagenfasern. Das weniger dicht mineralisierte Manteldentin bildet die dem Schmelz zugewandte Oberfläche.

Desmale Ossifikation

perichondrale Ossifikation; direkte Form der Knochenbildung vor allem in der Entwicklung der platten Knochen (z.B. Schädelknochen). Die Knochenbildung erfolgt hier direkt aus dem Mesenchym: Die Mesenchymzellen wandeln sich in Osteoblasten um, die dann zur Bildung der Interzellularsubstanz fähig sind. Durch verschiedene Vorgänge entsteht schließlich verkalktes faserreiches Bindegewebe, das als Geflechtknochen bezeichnet wird. Dieser Vorgang breitet sich von isoliert gelegenen Zentren in die Umgebung aus, wodurch Knochenbälkchen entstehen, die miteinander in Verbindung treten und dadurch eine Spongiosa bilden.

Zementozyten

bilden den Zahnzement, eng verwandt mit Osteozyten.

Sharpey-Fasern

Teil der Wurzelhaut (Desmodontium, Lig. periodontale), Bündel straffer kollagener Fasern, die in Zement und Alveolarknochen einstrahlen. Sie dienen der federnden Befestigung des Zahns sowie der Pufferung und Regulierung des Kaudrucks (die Fasern stehen in Kontakt mit sensiblen Nervenendigungen).

Periodontium

Bestandteil des Zahnhalteapparates, es füllt die Lücke zwischen der Oberfläche des Zements und den Alveolarfortsätzen aus, hierbei verlaufen die als Sharpey-Fasern bezeichneten Kollagenfasern von der Alveolarwand zum Zement hin absteigend, im Bereich des Zahnhalses jedoch horizontal bzw. aufsteigend. Das Periodontium dient der Befestigung der Zähne und der Pufferung des Kaudrucks.

Sharpey-Fasern

Teil der Wurzelhaut (Desmodontium, Lig. periodontale), Bündel straffer kollagener Fasern, die in Zement und Alveolarknochen einstrahlen. Sie dienen der federnden Befestigung des Zahns sowie der Pufferung und Regulierung des Kaudrucks (die Fasern stehen in Kontakt mit sensiblen Nervenendigungen).

Fibrozyten

ortsständige, spindelförmige Bindegewebszellen mit verzweigten Fortsätzen. Diese Zellen synthetisieren alle Substanzen der Extrazellulärmatrix des Bindegewebes. Fibroblasten haben eine hohe Syntheseleistung, ihr Zellkern ist reich an Euchromatin und erscheint in der histologischen Färbung hell. Fibrozyten sind weniger aktiv, ihr Zellkern ist Heterochromatin reich und ist deshalb kräftiger gefärbt.

Alveolarknochen

Processus alveolares der Maxilla bzw. Mandibula aus Lamellenknochen. Sie gehen aus der äußeren Schicht der Zahnsäckchen hervor und werden desmal ossifiziert. Die Alveolarknochen sind Bestandteil des Zahnhalteapparates, an ihnen befestigen sich die Sharpey-Fasern des Periodontiums.

In dieser Vergrößerung sind alle Bestandteile des Zahnhalteapparates (Paradontium, Paradont) zu erkennen. Die Zementschicht schließt sich dem Dentin (in der linken unteren Ecke angeschnitten) unmittelbar an. Zement wird nach Art der desmalen Ossifikation von Zementozyten gebildet. Vor allem an der Wurzelspitze können sich diese Zellen in den Zement einmauern, im Bereich des Zahnhalses liegen die Zementozyten der Zementschicht außen an. Im Zement verlaufende kollagene Fasern setzen sich nach außen in die Bindegewebszüge (Sharpey-Fasern) des Periodontiums (Desmodont, Wurzelhaut) fort. Zwischen den Sharpey-Fasern liegen die spindelförmigen Zellkerne der Fibrozyten und Blutgefäßanschnitte. Die Bindegewebszüge des Periodontium strahlen außen in den Alveolarknochen ein.