Voriges Präparat Index Nächstes Präparat   [a] [b] [c] [d]
 

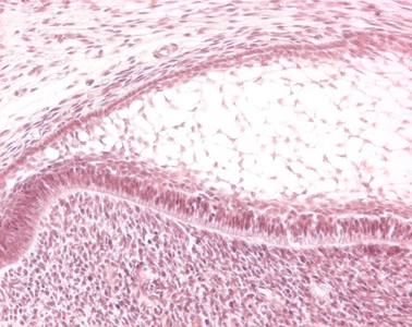
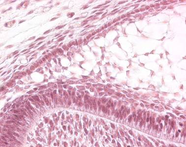
Präparat 45: Zahnanlage, H.-E.

[Bild]
Zahnpapille

Vorläufer der Zahnpulpa aus verdichtetem Mesenchym in der Höhlung der Zahnglocke.

Zahnsäckchen

Verdichtung des Mesenchyms, das die Zahnanlage umgibt. Aus ihm entwickeln sich die Bestandteile des Zahnhalteapparates.

Schmelzepithel

umfasst das Schmelzorgan als äußeres und inneres Schmelzepithel; das äußere Schmelzepithel grenzt an das Zahnsäckchen, das innere Schmelzepithel an die bindegewebige Zahnpapille. Aus dem inneren Schmezepithel differenzieren sich die schmelzbildenden Ameloblasten.

Mesenchym

pluripotentes Grundgewebe der Embryonalzeit, von dem sich sämtliche Binde- und Stützgewebe sowie einige andere Gewebe (z.B. Teile der Muskulatur) ableiten. Das Mesenchym selbst stammt aus dem Mesoderm und zu kleinen Teilen aus Ektoderm und Entoderm.

In diesem Ausschnitt ist oben das Schmelzorgan (Zahnglocke) und unten die Zahnpapille zu erkennen. Die Zahnglocke wird nach außen durch das äußere Schmelzepithel (flach, isoprismatisch) gegen das mesenchymale Zahnsäckchen abgegrenzt. Die innere Oberfläche der Zahnglocke wird durch das hochprismatische innere Schmelzepithel ausgekleidet, das der Zahnpapille aus dichtem Mesenchym zugewandt ist. Zwischen dem inneren und äußeren Schmelzepithel befindet sich die Schmelzpulpa; hier liegen sternförmige Zellen in weiten Interzellularräumen.