Voriges Präparat Index Nächstes Präparat   [a] [b] [c] [d]
 

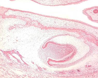
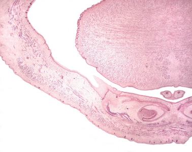
Präparat 45: Zahnanlage, H.-E.

[Bild]
Embryo

Bezeichnung für die Frucht in der Gebärmutter bis zum Ende der 8. Schwangerschaftswoche, bis zu diesem Zeitpunkt sind die Organsysteme angelegt.

Haarfollikel

zusammenfasssende Bezeichnung für Haarpapille und bindegewebige und epitheliale Wurzelscheiden des Haares.

Mehrschichtig unverhorntes Plattenepithel

Epithel innerer Körperoberflächen, die starken mechanischen Belastungen ausgesetzt sind, z.B. Mundhöhle, Ösophagus, Analkanals und Vagina. Es besteht aus mehreren Schichten, deren Zellen unterschiedliche Formen besitzen: Die Zellen des Stratum basale sind hochprismatisch, relativ klein und dicht gepackt, die Zellen des Stratum spinosum sind polygonal geformt und besitzen stachelig erscheinende Ausläufer (daher der Begriff „Stachelzellschicht“. Die Basalzellschicht und die „Stachelzellschicht bilden zusammen die Proliferationszellschicht. Von der Basalzellschicht aus wandern die Zellen an die Oberfläche und verändern dabei ihre Form. Die Zellen der Superfzialschicht sind abgeplattet (daher Plattenepithel). Die Zellkerne sind gut erhalten und bis in die obersten Zellschichten zu erkennen. Das Plattenepithel ist durch Bindegewebspapillen eng mit der Lamina propria verzahnt.

Zahnleiste

erstes Stadium der Zahnanlage in Form von bogenförmigen Absenkungen des Epithels der Mundbucht im Bereich des späteren Ober- und Unterkiefers. An ihrem Ende entwickelt sich die Zahnknospe, aus der das Schmelzorgan hervorgeht.

Mesenchym

pluripotentes Grundgewebe der Embryonalzeit, von dem sich sämtliche Binde- und Stützgewebe sowie einige andere Gewebe (z.B. Teile der Muskulatur) ableiten. Das Mesenchym selbst stammt aus dem Mesoderm und zu kleinen Teilen aus Ektoderm und Entoderm.

Zahnsäckchen

Verdichtung des Mesenchyms, das die Zahnanlage umgibt. Aus ihm entwickeln sich die Bestandteile des Zahnhalteapparates.

Es handelt sich um einen Schnitt durch die herausgelöste Maxillar- und Mandibularregion eines menschlichen Embryos. Das Präparat hat also präparationsbedingte künstliche Schnittflächen und zwei natürliche, von Epithelien überzogene Oberflächen: die Haut auf der Außenseite und die Schleimhaut im Innern der Mundhöhle. Die Wangenhaut ist beim Embryo noch nicht so dick und deutlich verhornt wie beim Erwachsenen, läßt sich aber anhand der zahlreichen vom Epithel in die Tiefe eingestülpten Haarfollikel identifizieren. Die stark gebuchtete Mundhöhle (in der u.U. auch die Zunge angeschnitten ist) trägt ein typisches mehrschichtiges unverhorntes Plattenepithel. Schon in der Übersicht erkennt man, daß von diesem Epithel ausgehend im Ober- und im Unterkieferbereich schlauchartige, manchmal gewundene Gebilde (die Zahnleisten) sich in die Tiefe senken, die in epithelialen Verdichtungen, den Zahnknospen der Zahnanlagen enden. Im hier gezeigten Entwicklungsstadium hat sich die Zahnknospe bereits zur Zahnglocke, dem Schmelzorgan, differenziert. Im Inneren der Glocke liegt die Zahnpapille aus verdichtetem Mesenchym. Außen um die Zahnglocke verdichtet sich das Mesenchym zum Zahnsäckchen.