Voriges Präparat Index Nächstes Präparat   [a] [b] [c] [d]
 

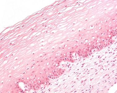
Präparat 83: Portio / Vagina, H.-E.

[Bild]
Vagina

Scheide; 6-8cm langes und 2-3 cm breites muskulär-bindegewebiges Hohlorgan, dessen Wand aus miteinander verflochtener glatter Muskulatur und Bindegewebe besteht. Die vorzugsweise quer verlaufenden Muskelbündel bilden ein dehnbares Maschenwerk und gehen zum Teil direkt in die Muskulatur von Uterus und Damm über. Das Bindegewebe enthält ein Netzwerk aus elastischen Fasern und scherengitterförmig angeordneten Kollagenfaserzügen. Die Vagina ist mit mehrschichtigem unverhorntem Plattenepithel ausgekleidet, das sich scharf von der Zervixschleimhaut absetzt.

Mehrschichtig unverhorntes Plattenepithel

Epithel innerer Körperoberflächen, die starken mechanischen Belastungen ausgesetzt sind, z.B. Mundhöhle, Ösophagus, Analkanals und Vagina. Es besteht aus mehreren Schichten, deren Zellen unterschiedliche Formen besitzen: Die Zellen des Stratum basale sind hochprismatisch, relativ klein und dicht gepackt, die Zellen des Stratum spinosum sind polygonal geformt und besitzen stachelig erscheinende Ausläufer (daher der Begriff „Stachelzellschicht“. Die Basalzellschicht und die „Stachelzellschicht bilden zusammen die Proliferationszellschicht. Von der Basalzellschicht aus wandern die Zellen an die Oberfläche und verändern dabei ihre Form. Die Zellen der Superfzialschicht sind abgeplattet (daher Plattenepithel). Die Zellkerne sind gut erhalten und bis in die obersten Zellschichten zu erkennen. Das Plattenepithel ist durch Bindegewebspapillen eng mit der Lamina propria verzahnt.

Auf der vaginalen Seite findet man ein mehrschichtig unverhorntes Plattenepithel (Zellkerne bis in die oberste Schicht deutlich zu erkennen).