Voriges Präparat Index Nächstes Präparat   [a] [b] [c] [d]
 

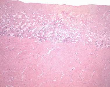
Präparat 82: Uterus, H.-E.

[Bild]
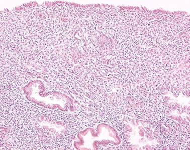
Endometrium

Tunica mucosa des Uterus, die dem Myometrium ohne scharfe Grenze folgt und zyklischen Verändungen unterliegt. Das Endometrium des Corpus uteri besteht aus einschichtigem hochprismatischem Epithel, tubulösen Drüsen (Glandulae uterinae) und einem als Stroma uteri bezeichneten Bindegewebe mit progesteron-empfindlichen interstitiellen Zellen. Es lassen sich das Stratum functionale und das Stratum basale, von dem die Schleimhautregeneration ausgeht, unterscheiden.

Stratum functionale

Funktionalis; dem Uteruslumen zugewandte, oberflächliche Schicht des Endometriums im Bereich des Corpus uteri, die starken Zyklusveränderungen unterliegt und während der Desquamationsphase abgestoßen wird. Ihre Regeneration erfolgt aus dem Stratum basale. Das Stratum functionale enthält senkrecht zur Oberfläche angeordnete, lange Drüsenschläuche, die Glandulae uterinae.

Stratum basale, Uterus

Basalis; dem Myometrium unmittelbar benachbarte, tiefe Schicht des Endometriums im Bereich des Corpus uteri, die während der Menstruation erhalten bleibt und die Grundlage für die Regeneration des Stratum functionale bildet.

Myometrium

besteht aus mehreren Schichten angeordneten glatter Muskulatur, die im Fundus- und Korpusbereich am stärksten ausgeprägt ist. Im Corpus uteri sind die innere und äußere Schicht hauptsächlich in longitudinaler Richtung angeordnet, während die aufgrund ihrer reichen Vaskularisation als Stratum vasculare bezeichnete Zwischenschicht zirkulär verläuft. Die zirkulär verlaufenden Faserzüge überwiegen im Bereich des Isthmus und der Cervix uteri.

Wandausschnitt des Uterus. Im oberen Bildteil ist das Endometrium (Schleimhaut des Uterus) zu erkennen, das sich in ein an das Lumen grenzende Stratum functionale und ein darunter gelegenes Stratum basale gliedert. Im unteren Bildteil ist die kräftige Muskelschicht, das Myometrium zu sehen.