Voriges Präparat Index Nächstes Präparat   [a] [b] [c] [d]
 

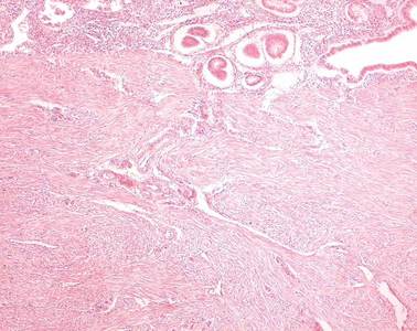
Präparat 82: Uterus, H.-E.

[Bild]
Endometrium

Tunica mucosa des Uterus, die dem Myometrium ohne scharfe Grenze folgt und zyklischen Verändungen unterliegt. Das Endometrium des Corpus uteri besteht aus einschichtigem hochprismatischem Epithel, tubulösen Drüsen (Glandulae uterinae) und einem als Stroma uteri bezeichneten Bindegewebe mit progesteron-empfindlichen interstitiellen Zellen. Es lassen sich das Stratum functionale und das Stratum basale, von dem die Schleimhautregeneration ausgeht, unterscheiden.

Glandula uterina

tubulöse Drüsen des Corpus uteri, die von hochprismatischem Epithel ausgekleidet sind und in ihrer Form und Größe zyklischen Veränderungen unterliegen. Unter dem Einfluß von Progesteron bilden sie ein glykogenreiches Sekret, das in der Sekretionsphase abgegeben wird.

Retronukleäre Vakuolen

lichtmikroskopisch erkennbare Bläschen im Zytoplasma der Zellen in den Glandulae uterinae. Sie liegen unterhalb des Kerns liegen und enthalten Einlagerungen von Glykogen und Glykoproteinen. Diese basale Vakuolisierung tritt als Früheffekt der Progesteronwirkung am 3. und 4. Tag nach der Ovulation in den Zellen auf.

Lamina propria mucosae, Uterus

subepithelial gelegenes lockeres Bindegewebe. In ihr finden sich zahlreiche Blut- und Lymphkapillaren, Spiralarterien und viele freie Zellen der Abwehr, z.B. Makrophagen.

Erscheinungsform und Dicke des Endometriums wechseln mit dem Zyklus. In der Proliferationsphase und in der frühen Sekretionsphase sind die Drüsenschläuche der Glandulae uterinae noch gestreckt. In der frühen Sekretionsphase treten in den Drüsenepithelzellen der Glandulae uterinae die sog. retronukleären Vakuolen auf; das Epithel wird hochprismatischer und mehrreihig (siehe auch bei Präp. 83). In der späteren Sekretionsphase wachsen vermehrt Arterien (Spiralarterien) in die Lamina propria ein; die Drüsenschläuche der Glandulae uterinae verlängern sich und winden sich wie Korkenzieher, so dass sie im Schnitt "sägeblattartig" aussehen.