Voriges Präparat Index Nächstes Präparat   [a] [b] [c]
 

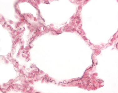
Präparat 71: Lunge, elastische Fasern, Resorcin-Fuchsin, Gegenfärbung mit Kernechtrot

[Bild]
Alveolen

Lungenbläschen mit einem Durchmesser von 250-300 µm. Ihre innere Oberfläche wird von flachen Plattenepithelzellen gebildet (Alveolarepithelzellen Typ I, synonym: Pneumozyt Typ I). Neben den Alveolarepithelzellen Typ I gibt es größere, isoprismatische Epithelzellen (Alveolarepithelzellen Typ II, synonym: Pneumozyt Typ II). Benachbarte Alveolen sind durch ein gemeinsames bindegewebiges Septum interalveolare voneinander getrennt, das neben elastischen Fasernetzen und Fibrozyten, Makrophagen, Mastzellen und Leukozyten vor allem die Kapillarverzweigungen der A. pulmonalis enthält. Alveolarepithelzellen Typ I bilden gemeinsam mit dem Endothel der Kapillaren und einer einzigen Basallamina die Blut-Luft-Schranke.

Elastische Fasern

sind aus Elastin zusammengesetzt, kommen im lockeren Bindegewebe vor und sind besonders dicht gelagert in der Membrana elastica interna und externa der Arterien und Venen sowie im Lig. flavum, das die Wirbelbögen verbindet. Elastische Fasern werden nur durch Spezialfärbungen (z. B. Resorcin-Fuchsin) dargestellt.

Die Wände der Alveolen sind von zahlreichen elastischen Fasern durchsetzt. Dieses elastische Fasernetz garantiert die Elastizität der Lunge. Bestimmte Erkrankungen der Lunge (z. B. das Altersemphysem) gehen mit einem starken Schwund der elastischen Fasern einher.