Voriges Präparat Index Nächstes Präparat   [a] [b] [c]
 

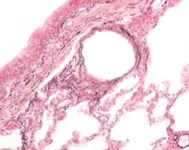
Präparat 71: Lunge, elastische Fasern, Resorcin-Fuchsin, Gegenfärbung mit Kernechtrot

[Bild]
Elastische Fasern

sind aus Elastin zusammengesetzt, kommen im lockeren Bindegewebe vor und sind besonders dicht gelagert in der Membrana elastica interna und externa der Arterien und Venen sowie im Lig. flavum, das die Wirbelbögen verbindet. Elastische Fasern werden nur durch Spezialfärbungen (z. B. Resorcin-Fuchsin) dargestellt.

Bronchus

Ast des Bronchialbaums; aus der Trachea gehen an der Bifurcatio tracheae zunächst der Bronchus principalis dexter und sinister hervor, die sich in die Bronchi lobares fortsetzen, deren Anzahl jeweils der Anzahl der Lungenlappen entspricht. Diese verzweigen sich zu den Bronchi segmentales, aus denen schließlich die Bronchioli und Bronchioli terminales hervorgehen. Alle Bronchi weisen prinzipiell den gleichen Wandbau wie die Trachea auf, sie gehören zu den luftleitenden Abschnitten der Atemwege.

Bronchiolus

aus den Bronchi segmentales hervorgehende Verzweigungen des Bronchialbaums mit einem Durchmesser von mehr als 1 mm. In ihren Wänden fehlen sowohl Knorpel als auch die Drüsen, das Flimmerepithel wird niedriger und schließlich isoprismatisch. Die spiralförmig angeordnete glatte Muskulatur nimmt zu. Im histologischen Präparat zeigen sie häufig ein sternförmiges Lumen. Die letzten Anteile des luftleitenden Systems sind die Bronchioli terminales, aus ihnen gehen die Bronchioli respiratorii hervor; hier beginnt der respiratorische Teil der Lunge.

A. pulmonalis

Die beiden Aa. pulmonales gehen aus dem Truncus pulmonalis hervor, eine jede tritt in das Hilum pulmonis ein und schließt sich im weiteren Verlauf den Verzweigungen des Bronchialbaums an, wobei sie bis zu ihren Kapillarverzerigungen in den Alveolarwänden keine Äste abgeben. Als Vasa publica stehen sie im Dienst des gesamten Organismus und führen das CO2-reiche Blut aus dem Körperkreislauf der Lunge zu.

Membrana elastica interna

bei Arterien des muskulären Typs besonders deutlich erkennbare elastische Membran zwischen Intima und Media. Sie erscheint im histologischen Präparat geschlängelt, ist aber im lebenden Organismus gespannt durch den Blutdruck.

Membrana elastica externa

bei Arterien des muskulären Typs vorkommende Schicht zwischen Tunica media und Tunica adventitia. Sie entsteht durch eine Verdichtung von elastischen Strukturen der Media an der Grenze zur Tunica adventitia.

Tunica media

Muscularis; mittlere Wandschicht eines Blutgefäßes aus glatten Muskelzellen und Bindegewebe mit kollagenen und elastischen Fasern. In arteriellen Gefäßen ist die glatte Muskulatur dichter und regelmäßiger angeordnet als in venösen. Die Media reguliert die Gefäßweite durch Muskelkontraktionen.

Parenchym

Gesamtheit der organspeziellen Zellen, die die spezifische Funktion eines Organs bedingen.

Alveolen

Lungenbläschen mit einem Durchmesser von 250-300 µm. Ihre innere Oberfläche wird von flachen Plattenepithelzellen gebildet (Alveolarepithelzellen Typ I, synonym: Pneumozyt Typ I). Neben den Alveolarepithelzellen Typ I gibt es größere, isoprismatische Epithelzellen (Alveolarepithelzellen Typ II, synonym: Pneumozyt Typ II). Benachbarte Alveolen sind durch ein gemeinsames bindegewebiges Septum interalveolare voneinander getrennt, das neben elastischen Fasernetzen und Fibrozyten, Makrophagen, Mastzellen und Leukozyten vor allem die Kapillarverzweigungen der A. pulmonalis enthält. Alveolarepithelzellen Typ I bilden gemeinsam mit dem Endothel der Kapillaren und einer einzigen Basallamina die Blut-Luft-Schranke.

Bei diesem Präparat werden die elastischen Fasern selektiv dunkel angefärbt. In der Übersicht fallen zunächst die schwarz gefärbten elastischen Fasern und Netze in den Wänden der Bronchi, Bronchioli, Arterien und Venen auf. In den Ästen der Arteria pulmonalis sind die Membrana elastica interna (geschlängelt) und externa, ebenso wie vereinzelte elastische Fasern in der Tunica media gefärbt. Die Menge der elastischen Fasern in den Wänden der Venen, die isoliert durch das Lungenparenchym laufen, ist wesentlich geringer. Abgebildet sind hier ein Bronchiolus mit Ast der A. pulmonalis, zahlreiche Alveolen und einzeln verlaufende Äste der V. pulmonalis.