Voriges Präparat Index Nächstes Präparat   [a] [b] [c]
 

Präparat 26: Multipolare Nervenzellen, Rückenmark (Schwein), Nissl-Färbung

[Bild]
Nissl-Färbung

Färbemethode zur Darstellung der Nissl-Schollen, z.B. mit Kresylviolett oder Toluidinblau.

Ergastoplasma

(Plasmawerkstatt) stark basophile Zytoplasmaareale, die in großem Umfang Proteine synthetisieren. Ultrastrukturell besteht das Ergastoplasma aus rauem endoplasmatischen Retikulum und Polyribosomen,

Ribosomen

Ribosomen sind etwa 20-25 nm große, globuläre Partikel. Sie sind für die Proteinbiosynthese zuständig und liegen frei im Zytosol oder sind an das endoplasmatische Retikulum gebunden.

Nissl-Schollen

Nissl-Substanz; basophile, ribonukleinsäurereiche Schollen in Nervenzellen, die ultrastrukturell Ansammlungen von rauen endoplasmatischen Retikulum und freien Ribosomen entsprechen. Sie sind der Ort der Proteinbiosynthese. Benannt nach dem deutschen Psychiater und Neurologen Franz Nissl (1860 -1919), der als Medizinstudent die nach ihm benannte Nissl-Färbung zur Darstellung von Nervenzellen entwickelte. Bevor er 1895 zu Emil Kraepelin an die Psychiatrische Universitätsklinik nach Heidelberg wechselte (bis 1918), war er ab 1889 für sechs Jahre lang Oberarzt unter Alois Alzheimer in Frankfurt, mit dem er Arbeiten über Histologie und Histopathologie der Großhirnrinde (1904, 1908 und posthum 1921) veröffentlichte.

Motoneurone

liegen im Vorderhorn des Rückenmarks. Sie werden in große Alpha- und kleine Gamma- Motoneurone eingeteilt. Die Alpha-Motoneurone innervieren quergestreifte Skelettmuskelfasern über motorische Endplatten. Ein Alpha-Motoneuron bildet mit allen von ihm innervierten Skelettmuskelfasern eine motorische Einheit. Die kleineren Gamma- Motoneurone innervieren die intrafusalen Muskelfasern der Muskelspindeln.

Perikaryon

Zellkörper einer Nervenzelle (Neuron), auch Soma (griechisch: Körper, Leib) genannt. Im eigentlichen Wortsinn ist Perikaryon der Teil des Zellkörpers, der den Zellkern umgibt und das Zytoplasma enthält (griech.: peri - um, darum herum; karyos - Kern)

Dendriten

der Signalaufnahme dienende, baumartig verzweigte Fortsätze einer Nervenzelle, die im Gegensatz zum Axon raues endoplasmatisches Retikulum enthalten und nicht von einer Markscheide umhüllt sind.

Axon

der efferenten Erregungsleitung dienender Fortsatz der Nervenzelle. Die Erregung der Nervenzelle wird in Form von Aktionspotentialen weitergeleitet. Jede Nervenzelle besitzt nur ein Axon, in dessen Verlauf allerdings Kollateralen abzweigen können. In der Zielregion kann sich das Axon mehrfach verzweigen (Telodendron) und mit mehreren nachgeschalteten Nervenzellen Synapsen bilden.

Euchromatin

fasst die genetisch aktiven Abschnitte der Chromosomen zusammen, stellt die lichtmikroskopisch wenig gefärbten Regionen des Zellkerns dar. In diesen Bereichen wird die genetische Information abgelesen. Stoffwechselaktive Zellen haben einen großen, euchromatischen Zellkern.

Heterochromatin

kennzeichnet die aufgeknäuelten, inaktiven Chromosomenbereiche, ist in lichtmikroskopischen Präparaten intensiv angefärbt. Heterochromatin ist im Zellkern von stoffwechselinaktiven Zellen besonders ausgeprägt und liegt häufig randständig im Zellkern. Bereiche der DNA, die nicht für Proteine kodieren und stets kondensiert bleiben, wie die Telomere, werden als konstitutives Heterochromatin bezeichnet.

Nukleolus

Der Nukleolus wird auch als Kernkörperchen bezeichnet. Er stellt eine Ansammlung ribosomaler RNA und präribosomaler Partikel dar. Die Größe und die Anzahl (manchmal kommen bis zu zehn vor, i.d.R. jedoch ein bis drei) der Nukleoli ist von der Syntheseleistung der jeweiligen Zelle abhängig. In den Nukleoli findet nicht nur die Synthese der ribosomalen RNA (rRNA), sondern auch der Zusammenbau der Untereinheiten der Ribosomen statt. Auf bestimmten Nukleolus-organisierenden Chromosomenabschnitten liegen die Gene für die rRNA vor, die zur Bildung der Nukleoli führen. Hier erfolgt die Bildung einer gemeinsamen rRNA-Vorstufe, der 45-S-Prä-rRNA, aus der durch Spaltung dann die weiteren rRNA (28-S, 18-S und 5,8-S- rRNA) der Ribosomen entstehen. Elektronenmikroskopisch lassen sich innerhalb des Nukleolus drei Bereiche unterscheiden: 1. Granuläre Komponente: nimmt meist den größten Raum des Nukleolus ein; die rRNA bildet hier zusammen mit Proteinen die ribosomalen Untereinheiten (präribosomale Partikel), die als Granula vorliegen. 2. Fibrilläre Zentren: inselförmige, helle Bereiche - hier befindet sich die RNA-Polymerase I, die für die Trankription, bzw. Synthese der rRNA (45-S-Prä-rRNA) verantwortlich ist. 3. Dicht-fibrilläre Komponente: optisch dichte Bereiche, die die fibrillären Zentren schalenförmig umgeben; hier bilden spezifische Proteine Komplexe mit der Prä-rRNA, um sie anschließend in 28-S, 18-S und 5,8-S- rRNA zu zerschneiden

Ergastoplasma

(Plasmawerkstatt) stark basophile Zytoplasmaareale, die in großem Umfang Proteine synthetisieren. Ultrastrukturell besteht das Ergastoplasma aus rauem endoplasmatischen Retikulum und Polyribosomen,

Gliazellen

Zellen des Nervensystems, die mechanische und metabolische Aufgaben erfüllen und essentielle Partner der Nervenzellen sind. Im Zentralnervensystem sind zu unterscheiden: Astrozyten, Tanyzyten, Ependymzellen, Plexusepithelzellen, Oligodendrozyten und Mikroglia. Die Mikroglia entwickelt sich nicht - wie alle anderen Gliazelltypen - aus dem Neuralrohr (Ektoderm), sondern wächst aus dem Mesenchym in die Anlage des Nervensystems ein.

Astrozyten

Gliazellen mit z.T. sehr langen Fortsätzen, die in enger Verbindung zu Kapillaren und Nervenzellen stehen. An der äußeren Oberfläche des ZNS bilden die verbreiterten Endfüße der Fortsätze die Membrana limitans gliae superficialis, an den Kapillaren die Membrana limitans gliae vascularis. Es werden fibrilläre und protoplasmatische Astrozyten unterschieden. Die fibrillären Astrozyten haben lange, dünne und schmale Fortsätze; sie befinden sich vor allem in der weißen Substanz von Gehirn und Rückenmark. Die protoplasmatischen Astrozyten haben kürzere Fortsätze, sie liegen vor allem in der grauen Substanz des ZNS. Astrozyten kontrollieren die Zusammensetzung des extrazellulären Milieus und beeinflussen indirekt Transportvorgänge im ZNS und regulierendas Elektrolytengleichgewicht im ZNS.

Oligodendrozyten

Neben Astrozyten und Mikroglia Bestandteil der Neuroglia des ZNS. Oligodendrozyten finden sich sowohl in der grauen als auch in der weißen Substanz von Gehirn und Rückenmark und dienen der Bildung und Erhaltung der Markscheiden der Axone.

Myelinscheide

Umhüllung des Axons durch Zytoplasmafortsätze von Oligodendrozyten (ZNS) oder Schwann- Zellen (peripheres Nervensystem), die Lamellen bilden .

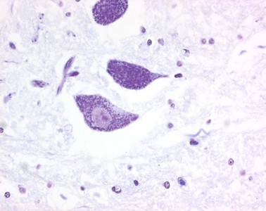
Mit der Nissl-Färbung wird das Ergastoplasma (elektronenmikroskopisch als lokale Anhäufungen von rauem endoplasmatischen Retikulum und freien Ribosomen aufzulösen) der Nervenzellen im Lichtmikroskop sichtbar, und zwar in Form blau gefärbter Nissl-Schollen (Tigroid-Substanz). Wie hier an den Motoneuronen im Vorderhorn des Rückenmarks gezeigt, verteilen sich die Nissl-Schollen nicht gleichmäßig in der Nervenzelle. Sie sind dicht gelagert im Perikaryon und finden sich auch in den Dendriten. Das Axon enthält keine Nissl-Schollen. Dort, wo es das Perikaryon verlässt, fehlt die Nissl-Substanz (gut an dem Neuron in der Mitte zu erkennen). Dieser Bereich wird als Axonhügel oder Ursprungskegel bezeichnet. Die großen Zellkerne der Neurone sind euchromatisch, also locker strukturiert mit wenig angefärbtem Heterochromatin. Sie enthalten einen oder mehrere Nukleolen. Diese werden intensiv angefärbt und sind gelegentlich im Zellkern angeschnitten. Der große, euchromatinreiche Zellkern und der hohe Gehalt an Ergastoplasma sind das histologische Äquivalent eines hohen Stoffwechsels und einer aktiven Proteinbiosynthese in den Neuronen.

Außer Nervenzellen sind zahlreiche kleinere, kräftig blau markierte Zellkerne zu erkennen. Diese gehören in der ganz überwiegenden Zahl zu Gliazellen (Astrozyten und Oligodendrozyten). Die Astrozyten haben einen etwas größeren Kern als die Oligodendrozyten. Astrozyten besitzen viele Fortsätze, die mit der Nissl-Färbung nicht dargestellt werden, sie haben metabolische und mechanische Aufgaben. Nach Verletzungen des Nervengewebes proliferieren die Astrozyten und bilden die sog. Glianarbe. Die Oligodendrozyten bilden die Myelinscheiden des ZNS.