Voriges Präparat Index Nächstes Präparat   [a] [b] [c]
 

Präparat 29: Peripherer Nerv, Masson-Goldner

[Bild]
Axon

der efferenten Erregungsleitung dienender Fortsatz der Nervenzelle. Die Erregung der Nervenzelle wird in Form von Aktionspotentialen weitergeleitet. Jede Nervenzelle besitzt nur ein Axon, in dessen Verlauf allerdings Kollateralen abzweigen können. In der Zielregion kann sich das Axon mehrfach verzweigen (Telodendron) und mit mehreren nachgeschalteten Nervenzellen Synapsen bilden.

Schwann-Zelle

der Neuralleiste entstammender Zelltyp, der die Myelinscheide der peripheren Nerven bildet.

Gliazellen

Zellen des Nervensystems, die mechanische und metabolische Aufgaben erfüllen und essentielle Partner der Nervenzellen sind. Im Zentralnervensystem sind zu unterscheiden: Astrozyten, Tanyzyten, Ependymzellen, Plexusepithelzellen, Oligodendrozyten und Mikroglia. Die Mikroglia entwickelt sich nicht - wie alle anderen Gliazelltypen - aus dem Neuralrohr (Ektoderm), sondern wächst aus dem Mesenchym in die Anlage des Nervensystems ein.

Oligodendrozyten

Neben Astrozyten und Mikroglia Bestandteil der Neuroglia des ZNS. Oligodendrozyten finden sich sowohl in der grauen als auch in der weißen Substanz von Gehirn und Rückenmark und dienen der Bildung und Erhaltung der Markscheiden der Axone.

Markscheide

Myelinscheide, Umhüllung des Axons durch Zytoplasmafortsätze von Oligodendrozyten (ZNS) oder Schwann- Zellen (peripheres Nervensystem). Diese Zellen bilden lipidhaltige Lamellen um das entsprechende Axon. Je nach Anzahl der Lamellen unterscheidet man markreiche oder markarme Nervenfasern.

Axon

der efferenten Erregungsleitung dienender Fortsatz der Nervenzelle. Die Erregung der Nervenzelle wird in Form von Aktionspotentialen weitergeleitet. Jede Nervenzelle besitzt nur ein Axon, in dessen Verlauf allerdings Kollateralen abzweigen können. In der Zielregion kann sich das Axon mehrfach verzweigen (Telodendron) und mit mehreren nachgeschalteten Nervenzellen Synapsen bilden.

Markhaltige Axone

Im ZNS von Oligodendrozyten und im peripheren Nervensystem von Schwannschen Zellen ummarkte Fortsätze einer Nervenzelle. Man unterscheidet markreiche von markarmen Nervenfasern. Die Dicke des Axons und der Marksscheide bestimmt die Geschwindigkeit und Art der Erregungsleitung: Die markhaltigen Axone leiten die Erregung schnell und saltatorisch (sprunghaft) weiter.

Myelinisierte Nervenfasern

von einer Markscheide eingehüllte Axone. Die Markscheide wird im ZNS durch Oligodendrozyten und im peripheren Nervensystem durch Schwann- Zellen gebildet und hüllt Axone ein. Axone und diese Hülle bilden eine Nervenfaser. Je nach Dicke der Markscheide kann man markreiche und markarme Nervenfasern unterscheiden. Ist keine Markscheide ausgebildet, liegen marklose Nervenfasern vor.

Myelinisierte Nervenfasern

von einer Markscheide eingehüllte Axone. Die Markscheide wird im ZNS durch Oligodendrozyten und im peripheren Nervensystem durch Schwann- Zellen gebildet und hüllt Axone ein. Axone und diese Hülle bilden eine Nervenfaser. Je nach Dicke der Markscheide kann man markreiche und markarme Nervenfasern unterscheiden. Ist keine Markscheide ausgebildet, liegen marklose Nervenfasern vor.

Myelin

Bestandteil der Markscheide, die das Axon umhüllt und im ZNS von Oligodendrozyten und im peripheren Nervensystem von Schwann- Zellen gebildet wird.

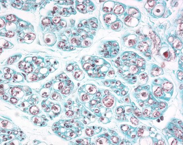
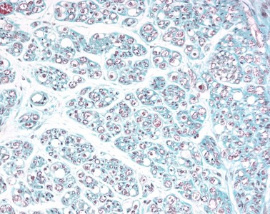
In dieser Vergrößerung sind zahlreiche Nervenfasern mit unterschiedlichem Kaliber zu erkennen. Der Begriff Nervenfaser bezeichnet ein Axon und seine aus Hüllzellen bestehende Axonscheide. In peripheren Nerven wird die Axonscheide von Schwann-Zellen (Gliazellen des peripheren Nervensystems) gebildet; im Zentralnervensystem von den Oligodendrozyten. Die Hüllzellen können eine Markscheide (Myelinscheide) bilden, in diesem Fall werden die Nervenfasern als markhaltig oder myelinisiert bezeichnet. Von marklosen Nervenfasern sprechen wir, wenn die Hüllzellen um das Axon keine Markscheide ausbilden. Die Durchmesser der Axone sind sehr unterschiedlich: in markhaltigen Axonen sind sie wesentlich größer (bis zu 20 µm) als in marklosen.

Das Präparat zeigt das charakterische Bild von Nervenfasern im Paraffinschnitt. Die einzelnen Nervenfasern sind vom Endoneurium umgeben, in dem zarte, grün gefärbte Kollagenfasern und hier und da Zellkerne von Fibrozyten zu erkennen sind. Im Zentrum einer myelinisierten Nervenfasern befindet sich das stark geschrumpfte Axon, das sich bei dieser Färbung als rundliche, leicht rötliche Struktur darstellt. Präparationsbedingt sind die Axone aus einigen Nervenfasern herausgelöst. Da die Lipide des Myelins durch Paraffineinbettung ausgewaschen werden, bleiben von der Markscheide nur Reste zurück und um das Axon entsteht ein heller Hof, in dem teilweise fädiges Material, der Proteinanteil der Markscheide, liegt. Bei einigen Nervenfasern ist der Kern einer Schwann-Zelle zu erkennen.