Voriges Präparat Index Nächstes Präparat   [a] [b] [c]
 

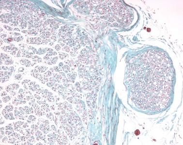
Präparat 29: Peripherer Nerv, Masson-Goldner

[Bild]
Peripherer Nerv

enthalten Axone von Nervenzellen, die im Rückenmark oder in peripheren Ganglien liegen. Die Axone sind von Schwann-Zellen und dem Endoneurium umhüllt. Als Nervenfaser bezeichnen wir ein Axon mit seiner Hülle aus Schwannzellen und Endoneurium. Mehrere Nervenfasern werden durch das Perineurium (relativ straffesBindegewebe) zu Nervenfaserbündeln zusammengefasst. Das lockere Bindegewebe, das größere Nerven in der Umgebung verankert, wird als Epineurium bezeichnet.

Epineurium

bindegewebige Hülle, die die von Perineurium umgebenen Nervenfaserbündel zu einemgroßen, makroskopisch erkennbaren Nerven zusammenfaßt. Über das Epineurium wird der Nerv in die Umgebung eingebaut. Es besteht aus lockerem Bindegewebe mit vorwiegend längsverlaufenden Kollagenfaserzügen.

Kollagenfasern

lassen sich mit histologischen Routinefärbungen im Lichtmikroskop darstellen. Sie setzen sich aus parallel angeordneten Kollagenfibrillen zusammen, die nur im Elektronenmikroskop erkennbar sind. Vorstufen des Kollagens (Prokollagen) werden von Fibroblasten synthetisiert und über Exozytose sezerniert. Die Bildung der Kollagenfibrillen erfolgt erst extrazellulär durch Abspaltung von Propeptiden und anschließender Quervernetzung. Kollagenfasern sind Bestandteil der Extrazellulärmatrix, ihre Anzahl und Anordnung bestimmt die Beschaffenheit des Bindegebewebes: Straffes Bindegewebe (z. B. in der Sehne) enthält zahlreiche, parallel angeordnete Kollagenfasern. Im lockeren Bindegewebe sind die Kollagenfasern weniger dicht und haben keine Vorzugsrichtung.

Perineurium

besteht aus mehreren Schichten epithelial angeordneter Zellen und vorwiegend zirkulär verlaufenden Kollagenfasern. Es bildet ein Hüllsystem, das Bündel von wenigen bis zu einigen hundert, von Endoneurium umgebenen Nervenfasern zu Faszikeln zusammenfasst.

Faszikel

durch Perineurium zusammengefaßte Bündel von wenigen bis zu einigen hundert, von Endoneurium umhüllten Nervenfasern.

Endoneurium

zarte, bindegewebige Hülle einer einzelnen Nervenfasern mit kollagenen und retikulären Fasern, die von der Nervenfaser durch eine Basallamina getrennt ist. Das Endoneurium enthält Blut- und Lymphkapillaren.

Das Präparat zeigt einen peripheren Nerven im Querschnitt. Nerven bestehen aus vielen Nervenfasern, die durch Bindegewebe gebündelt werden. Große periphere Nerven (z. B. N. ischiadicus) werden durch lockeres Bindegewebe (Epineurium) mit Fettzellen und Blutgefäßen in die Umgebung eingebaut. Innerhalb des Nerven werden mehrere Nervenfasern durch Perineuralzellen und dicht angeordnete kollagene Fasern (hier grün gefärbt), das Perineurium, zu Faszikeln zusammengefasst. Bei kleineren Nerven findet man außen kein Epineurium, sie werden vom Perineurium umgeben. Innerhalb der einzelnen Faszikel liegt zwischen den Nervenfasern ein zartes Bindegewebe, das als Endoneurium bezeichnet wird. Durch die Masson-Goldner-Färbung stellen sich die kollagene Fasern des Bindegewebes blau-grün und die zellulären Bestandteile rötlich dar.