Voriges Präparat Index Nächstes Präparat   [a] [b] [c]
 

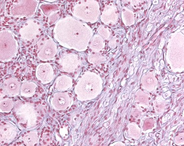
Präparat 28: Pseudounipolare Nervenzellen, Spinalganglion, Azan

[Bild]
Perikaryon

Zellkörper einer Nervenzelle (Neuron), auch Soma (griechisch: Körper, Leib) genannt. Im eigentlichen Wortsinn ist Perikaryon der Teil des Zellkörpers, der den Zellkern umgibt und das Zytoplasma enthält (griech.: peri - um, darum herum; karyos - Kern)

Gliazellen

Zellen des Nervensystems, die mechanische und metabolische Aufgaben erfüllen und essentielle Partner der Nervenzellen sind. Im Zentralnervensystem sind zu unterscheiden: Astrozyten, Tanyzyten, Ependymzellen, Plexusepithelzellen, Oligodendrozyten und Mikroglia. Die Mikroglia entwickelt sich nicht - wie alle anderen Gliazelltypen - aus dem Neuralrohr (Ektoderm), sondern wächst aus dem Mesenchym in die Anlage des Nervensystems ein.

Satellitenzelle

Gliazellen in peripheren Ganglien, auch als Mantelzelle bezeichnet, umgibt der Perikaryon der Ganglienzellen, eng verwandt mit Schwann-Zellen, die im peripheren Nerven vorkommen und dort die Axone umhüllen.

Kollagenfasern

lassen sich mit histologischen Routinefärbungen im Lichtmikroskop darstellen. Sie setzen sich aus parallel angeordneten Kollagenfibrillen zusammen, die nur im Elektronenmikroskop erkennbar sind. Vorstufen des Kollagens (Prokollagen) werden von Fibroblasten synthetisiert und über Exozytose sezerniert. Die Bildung der Kollagenfibrillen erfolgt erst extrazellulär durch Abspaltung von Propeptiden und anschließender Quervernetzung. Kollagenfasern sind Bestandteil der Extrazellulärmatrix, ihre Anzahl und Anordnung bestimmt die Beschaffenheit des Bindegebewebes: Straffes Bindegewebe (z. B. in der Sehne) enthält zahlreiche, parallel angeordnete Kollagenfasern. Im lockeren Bindegewebe sind die Kollagenfasern weniger dicht und haben keine Vorzugsrichtung.

Endoneurium

zarte, bindegewebige Hülle einer einzelnen Nervenfasern mit kollagenen und retikulären Fasern, die von der Nervenfaser durch eine Basallamina getrennt ist. Das Endoneurium enthält Blut- und Lymphkapillaren.

Markhaltige Axone

Im ZNS von Oligodendrozyten und im peripheren Nervensystem von Schwannschen Zellen ummarkte Fortsätze einer Nervenzelle. Man unterscheidet markreiche von markarmen Nervenfasern. Die Dicke des Axons und der Marksscheide bestimmt die Geschwindigkeit und Art der Erregungsleitung: Die markhaltigen Axone leiten die Erregung schnell und saltatorisch (sprunghaft) weiter.

Pseudounipolare Nervenzellen

besitzen einen einzigen, vom Perikaryon abgehenden Fortsatz, der sich bald in einen peripheren und einen zentralen Fortsatz aufteilt. Unter morphologischen und funktionellen Gesichtspunkten sind beide Fortsätze Axone (enthalten keine Nissl-Substanz; können von einer Markscheide umgeben sein). Pseudounipolare Nervenzellen finden sich in sensorischen (sensiblen) Ganglien, z. B. im Spinalganglion.

Spinalganglien

enthält die Perikaryen der sensorischen pseudounipolaren Nervenzellen, die ihren peripheren Fortsatz in den Spinalnerven und ihren zentralen Fortsatz in die Hinterwurzel des Rückenmarks entsenden. Die Spinalganglien liegen als Teil des Spinalnerven in den Foramina intervertebralia der Wirbelsäule.

Spinalnerven

Nervi spinales; 31 segmental und paarweise aus dem Rückenmark austretende Nerven. Man unterscheidet 8 zervikale, 13 thorakale, 5 lumbale und 5 sakrale sowie den kokzygealen Spinalnerven. Die Perikaryen des motorischen, efferenten Anteils liegen im Vorderhorn des Rückenmarks, die des sensiblen, afferenten Anteils in den Spinalganglien und die des viszeromotorischen Anteils im Seitenhorn des Rückenmarks. Die efferenten Fasern eines Segmentes bilden die Vorderwurzel und vereinigen sich mit der sensiblen Hinterwurzel zum Spinalnerven, der sich in vier Äste aufteilt: Ramus meningeus zur sensiblen Versorgung der Rückenmarkshäute Ramus posterior (dorsalis) zur motorischen Versorgung der autochthonen Rückenmuskulatur und zur sensiblen Versorgung der Hautregion des Rückens Ramus anterior (ventralis) zur motorischen Versorgung der Rumpfvorder- und Seitenwand und der Extremitäten sowie zur sensiblen Versorgung der entsprechenden Hautareale Ramus communicans, der die Verbindung zu den Grenzstrangganglien des vegetativen Nervensystems herstellt.

Rückenmark

Medulla spinalis; peripherer, im Wirbelkanal eingeschlossener Teil des ZNS. Es erstreckt sich vom Abgang des ersten Zervikalnerven bis zum Conus medullaris, der sich beim Erwachsenen in Höhe des 1. oder 2. Lendenwirbels befindet. Kaudal endet es mit dem nervenzellfreien Filum terminale, das sich am 1. Steißwirbel anheftet. Im Querschnitt erkennt man die zentrale schmetterlingsförmige graue Substanz, die von der weißen Substanz umschlossen wird. Die graue Substanz enthält die Perikaryen der Nervenzellen und das Neuropil; in der weißen Substanz verlaufen markhaltige Nervenfasern als auf- und absteigende Bahnen.

Spinalganglien

enthält die Perikaryen der sensorischen pseudounipolaren Nervenzellen, die ihren peripheren Fortsatz in den Spinalnerven und ihren zentralen Fortsatz in die Hinterwurzel des Rückenmarks entsenden. Die Spinalganglien liegen als Teil des Spinalnerven in den Foramina intervertebralia der Wirbelsäule.

In der Übersicht sind die unterschiedlich großen Perikaryen der Spinalganglienzellen als rosa/violett gefärbte, runde oder ovale Strukturen zu erkennen. In einigen Perikaryen ist der Zellkern angeschnitten. Kleine, intensiv angefärbte Zellkerne sind kreisförmig um die Perikaryen der Ganglienzellen angeordnet. Sie gehören zu Gliazellen (Mantelzellen, Satellitenzellen). Zwischen den Zellen verlaufen längs-, schräg oder quergeschnittene Bündel aus Nervenfasern mit zarten, blau gefärbten kollagenen Fasern des Endoneuriums. Die Nervenfaserbündel enthalten marklose und markhaltige Axone. Form, Zahl und Anordnung der Fortsätze der Nervenzellen können in der Azan- oder H.E.- Färbung nicht genau beurteilt werden. Zur detaillierten Analyse der Fortsätze müssen spezielle Versilberungstechniken (z. B. die Golgi-Versilberung, s. Präparat 92) eingesetzt werden. Nur durch diese Verfahren ist zu erkennen, dass es sich bei den Spinalganglienzellen pseudounipolare Nervenzellen handelt.

Die Spinalganglien sind Teil der Spinalnerven des Rückenmarks. Die Spinalnerven sind bilateral und segmental angeordnet. Jeder Spinalnerv setzt sich aus einer Vorderwurzel (Radix anterior) und einer Hinterwurzel (Radix posterior) zusammen. Makroskopisch sind die Spinalganglien als Verdickungen in der Hinterwurzel zu erkennen.