Voriges Präparat Index Nächstes Präparat   [a] [b] [c]
 

Präparat 27: Multipolare Nervenzellen, Grenzstrangganglion (Rind), Cajal-Versilberung

[Bild]
Perikaryon

Zellkörper einer Nervenzelle (Neuron), auch Soma (griechisch: Körper, Leib) genannt. Im eigentlichen Wortsinn ist Perikaryon der Teil des Zellkörpers, der den Zellkern umgibt und das Zytoplasma enthält (griech.: peri - um, darum herum; karyos - Kern)

Dendriten

der Signalaufnahme dienende, baumartig verzweigte Fortsätze einer Nervenzelle, die im Gegensatz zum Axon raues endoplasmatisches Retikulum enthalten und nicht von einer Markscheide umhüllt sind.

Axon

der efferenten Erregungsleitung dienender Fortsatz der Nervenzelle. Die Erregung der Nervenzelle wird in Form von Aktionspotentialen weitergeleitet. Jede Nervenzelle besitzt nur ein Axon, in dessen Verlauf allerdings Kollateralen abzweigen können. In der Zielregion kann sich das Axon mehrfach verzweigen (Telodendron) und mit mehreren nachgeschalteten Nervenzellen Synapsen bilden.

Neuron

Neuron; vom Zellleib (Perikaryon) der Nervenzellen gehen unterschiedliche Fortsätze ab: Dendriten, die der Nervenzelle Informationen von anderen Nervenzellen vermitteln und ein Axon, das die Erregung der Nervenzelle an Zielzellen (andere Nervenzellen, Muskulatur, Drüsenzellen) vermittelt. Nach Anzahl und Art ihrer Fortsätze lassen sich multipolare, bipolare oder pseudounipolare Neurone unterscheiden. Bei multipolaren Neurone gehen mehrere Dendriten und ein Axon vom Perikaryon ab, bipolare Neurone haben neben dem Axon nur einen Dendritenstamm. Ein Sonderfall sind die pseudounipolaren Nervenzellen, die z. B. im Spinalganglion vorkommen. Hier entspringt vom Perikaryon nur ein einziger Fortsatz, der sich kurz nach Abgang vom Perikaryon in einen peripheren und einen zentralen Fortsatz aufzeigt. Nach Funktion und Ultrastruktur sind die peripheren und zentralen Fortsätze der pseudounipolaren Nervenzellen Axone.

Gliazellen

Zellen des Nervensystems, die mechanische und metabolische Aufgaben erfüllen und essentielle Partner der Nervenzellen sind. Im Zentralnervensystem sind zu unterscheiden: Astrozyten, Tanyzyten, Ependymzellen, Plexusepithelzellen, Oligodendrozyten und Mikroglia. Die Mikroglia entwickelt sich nicht - wie alle anderen Gliazelltypen - aus dem Neuralrohr (Ektoderm), sondern wächst aus dem Mesenchym in die Anlage des Nervensystems ein.

Multipolare Neurone

Häufigster Nervenzelltyp mit zahlreichen Dendriten, die sich in der Nähe des Zellkörpers verzweigen und einem langen Axon. Typische Vertreter dieses Zelltyps sind die motorischen Vorderhornzellen des Rückenmarks.

Pseudounipolare Nervenzellen

besitzen einen einzigen, vom Perikaryon abgehenden Fortsatz, der sich bald in einen peripheren und einen zentralen Fortsatz aufteilt. Unter morphologischen und funktionellen Gesichtspunkten sind beide Fortsätze Axone (enthalten keine Nissl-Substanz; können von einer Markscheide umgeben sein). Pseudounipolare Nervenzellen finden sich in sensorischen (sensiblen) Ganglien, z. B. im Spinalganglion.

Vegetatives Ganglion

Ganglion des vegetativen Nervensystems, das sich in Parasympathicus und Sympathicus gliedert. Die sympathischen Ganglien bilden den Grenzstrang, parasympathische Ganglien finden sich z. B. am Kopf.

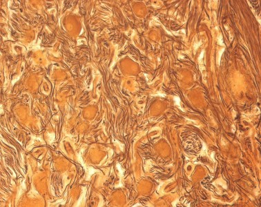
An diesem Präparat aus einem Ganglion des Grenzstrangs, Truncus sympathicus, sind die Nervenzellen mit der Cajal-Versilberung gefärbt (imprägniert). Wie Sie ja bereits bei Präparat 26 gelernt haben, besitzen Nervenzellen ein Perikaryon und unterschiedliche Fortsätze, die Dendriten und das Axon. Mit der Cajal-Versilberung werden Bestandteile des Zytoskeletts, die Neurofibrillen, tiefbraun bis schwarz angefärbt. Mit dem Elektronenmikroskop lassen sich Neurofibrillen in Neurofilamente und Neurotubuli auflösen. Die Neurofibrillen sind in den Axonen der Nervenzellen viel kompakter zusammengelagert als in den Dendriten und Perikaryen des Neurons. Die Axone erscheinen daher wesentlich dunkler als die Dendriten und die Perikaryen, die gelblich/braun gefärbt werden und nur am Rand versilberte Neurofibrillen zeigen. Der Zellkern der Neurone ist nicht angefärbt und erscheint daher als rundes helleres Gebilde im Perikaryon. Gliazellen (Satellitenzellen), die die Perikaryen umgeben, sind hier nicht eindeutig zu identifizieren.

Eine andere Versilberungstechnik (nach Golgi) stellt selektiv einzelne Neurone mit der Gesamtheit ihrer Fortsätze dar (s. Präparat 92). Die Golgi-Versilberung erlaubt die eindeutige Klassifizierung in multipolare Nervenzellen, bipolare Neurone (mit nur einem Dendritenstamm und einem Axon) und pseudounipolaren Nervenzellen.

Der Truncus sympathicus (Grenzstrang) ist Teil des vegetativen Nervensystems und liegt der Wirbelsäule an. Charakteristisch für ein vegetatives Ganglion sind zum einen die unterschiedlich großen, multipolaren Nervenzellen. Zum anderen ist die Lage der Gliazellen, welche die Perikarya der meisten Neurone im peripheren Nervensystem komplett einhüllen, in vegetativen Ganglien oft inkomplett.