Voriges Präparat Index Nächstes Präparat   [a] [b] [c] [d]
 

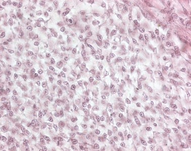
Präparat 8: Mesenchymales Bindegewebe (Hühnerembryo), H.-E.

[Bild]
Mesenchymzellen

spezifische Zellen des embryonalen Bindegewebes; sie sind zytoplasmaarm und verfügen über große, schwach basophile (euchromatische) Zellkerne. Ihre dünne, verzweigten Fortsätze nehmen untereinander Verbindung auf, um ein lockeres Schwammwerk zu bilden, dessen Lücken von einer flüssigen, noch undifferenzierten Interzellularsubstanz gefüllt werden.

Zellkern

Nukleus; Zentrum der genetischen Information und Steuerzentrale der Zellfunktionen. Es handelt sich um die größte, von einer Doppelmembran (Karyolemm) umschlossene, Zellorganelle. Im Karyoplasma enthält er Chromatin und Nukleolen. Erythrozyten enthalten keinen Zellkern, während Hepatozyten, Osteoklasten, Fremdkörperriesenzellen (mehrkernige Riesenzellen vom ungeordneten Typ) und Tumorzellen mehrere enthalten können.

Nexus

Gap junctions; elektronenmikroskopisch darstellbare fleckförmige Interzellularkontakte mit einer Spaltbreite von ca. 2-5 nm. Sie ermöglichen den Austausch von Ionen und kleinen Molekülen (bis zu 2 kDa) zwischen Zellen und dienen der konzertierten Aktion eines Zellverbandes. Sie kommen z. B. in glatter Muskulatur, Herzmuskulatur, Niere, Nebenniere und Schilddrüse. In Nexus finden sich1,5 nm weite Proteinkanäle, die zwei Zellen verbinden. Jede Zelle bildet einen Halbkanal (Connexon). Ein Connexon besteht aus 6 zirkulär angeordneten Connexin-Proteinen, ein Proteinkanal zwischen zwei Zellen setzt sich also aus 12 Proteineinheiten zusammen.

Interzellularraum

In jedem Gewebe bestehende Zellzwischenräume. Die Weite variiert je nach Gewebetyp und Menge der Interzellularsubstanz.

Grundsubstanz

von ortsständigen Bindegewebszellen synthetisierte amorphe, farblose Substanz, welche die Interzellularrräume der Binde- und Stützgewebe ausfüllt. Sie bestimmt weitgehend die mechanischen Eigenschaften des jeweiligen Gewebes. Die Grundsubstanz enthält Proteoglykane, Glykoproteine und interstitielle Flüssigkeit. Proteoglykane sind große Moleküle deren zentraler, fadenförmiger Proteinkern mit unterschiedlich gebauten Glykosaminoglykanketten verbunden ist. Diese Glykosaminoglykane oder saure Mukopolysaccharide bestehen aus unverzweigten Disaccharidketten, repetitiven Einheiten von Aminozuckern und Uronsäuren, die stark negativ geladen sind. Beispiele: Hyaluronsäure (ohne core-Protein), Heparansulfat, Chondroitinsulfat, Dermatansulfat und Keratansulfat. Glykosaminoglykane dienen der Wasserspeicherung und sind wichtig für den Stoffaustausch, Glykoproteine beteiligen sich oft am Aufbau der Basallamina und Glykokalix (Strukturglykoproteine wie Fibronektin, Laminin).

Die amöboid beweglichen Mesenchymzellen haben eine drei- bis vieleckige Gestalt mit auffällig großen, nur schwach basophilen Zellkerne, die meist einen deutlichen Nukleolus enthalten. Elektronenmikroskopisch sind in den teilungsfähigen Mesenchymzellen gruppenweise angeordnete Ribosomen zu erkennen, ein endoplasmatisches Retikulum fehlt. Die fortsatzreichen Zellen sind untereinander durch Zellkontakte, meist Nexus, verbunden. Der Interzellularraum enthält die hier nicht angefärbte Grundsubstanz und ist sehr weit. Geformte Bestandteile eines Bindegewebes, wie zum Beispiel kollagene Fasern, fehlen im mesenchymalen Bindegewebe.