Voriges Präparat Index Nächstes Präparat   [a] [b] [c] [d]
 

Präparat 8: Mesenchymales Bindegewebe (Hühnerembryo), H.-E.

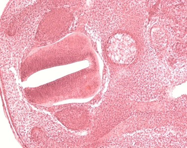
[Bild]
Mesenchym

pluripotentes Grundgewebe der Embryonalzeit, von dem sich sämtliche Binde- und Stützgewebe sowie einige andere Gewebe (z.B. Teile der Muskulatur) ableiten. Das Mesenchym selbst stammt aus dem Mesoderm und zu kleinen Teilen aus Ektoderm und Entoderm.

Stroma

Grundgerüst eines Organs aus retikulärem oder lockerem Bindegewebe.

Endothel

sehr flaches, einschichtiges Plattenepithel, das die innere Oberfläche von Blut- und Lymphgefäßen bildet. Das Zytoplasma dieser Zellen ist häufig so schmal, dass im Lichtmikroskop nur die gefärbten Zellkerne zu erkennen sind.

Ektoderm

äußeres der drei embryonalen Keimblätter; als Oberflächenektoderm bildet es den Ausgangspunkt für die Entwicklung der Epidermis. Als Neuroektoderm stellt es die Anlage des Nervensystems dar.

Neuralrohr

Vorstufe in der Entwicklung von Rückenmark und Gehirn während der Embryonalzeit. Die erste Anlage des Zentralnervensystems ist die ektodermale Neuralplatte, die sich in der Mittellinie zur beidseitig von Neuralfalten umgebenen Neuralrinne einwölbt. Die Neuralfalten verwachsen unter Bildung des Neuralrohrs miteinander, das unter das Oberflächenektoderm absenkt.

Chorda dorsalis

frühembryonales primitives Stützskelett (Achsenorgan), das die Bildung des Neuralrohres und die Differenzierung des paraxialen Mesoderms induziert und sich bei höheren Wirbeltieren zurückbildet. Die Nuclei pulposi der Zwischenwirbelscheiben und das Lig. apicis dentis gelten als Überbleibsel der Chorda dorsalis beim Erwachsenen.

Mesenchym ist embryonales Bindegewebe und kommt nur während der Entwicklung vor. Es handelt sich um pluripotentes Grundgewebe, aus dem sich alle Binde- und Stützgewebe entwickeln. Aus dem Mesenchym entsteht auch das bindegewebige Grundgerüst aller Organe, Stroma aber auch Epithelgewebe, beispielsweise das Endothel der Blutgefäße.

In der Übersicht des Präparats ist außen das Oberflächenektoderm, zu erkennen. Auffällig ist das Neuralrohr, hier zweimal angeschnitten, an dessen Seiten die beidseits (bilateral) angeordnete Neuralleiste, die sich hier schon zu den Spinalganglien differenziert hat, deutlich zu erkennen ist. Die Chorda dorsalis ist ebenfalls zu erkennen.