Voriges Präparat Index Nächstes Präparat   [a] [b] [c] [d]
 

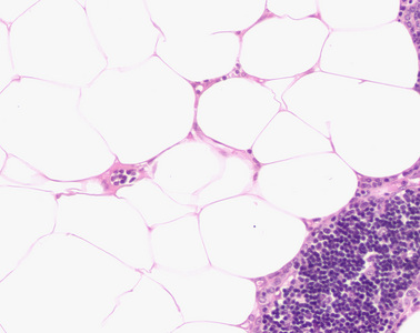
Präparat 13: Thymus (erwachsener Mensch), Gewebsschnitt, H.-E.

[Bild]
Hassall-Körperchen

kugelige, azidophile Gebilde aus zwiebelschalenartig zusammengelagerten Epithelzellen im Mark des Thymus. In ihrem Inneren befindet sich Detritus aus abgestorbenen Zellen.

Basophilie

Zell- oder Gewebsbestandteile, die sich aufgrund ihrer Affinität zum basischen Farbstoff Methylenblau blau anfärben lassen, werden als basophil bezeichet

Azidophil

Mit sauren Farbstoffen anfärbbar.

Im Mark befinden sich die auffälligen Hassall-Körperchen in verschiedenen Zustandsformen und Größen. Die Hassall-Körperchen bestehen aus modifizierten Retikulumzellen mit großem leerem Zellkern und sehr deutlichem Nukleolus, die sich zu Gruppen zusammenlagern. Dabei umgeben die äußeren Zellen des Hassall-Körperchens die inneren zwiebelschalenartig. In den größeren Körperchen findet sich im Inneren oft Zelldetritus in Form von intensiv basophilen Punkten oder unregelmäßig strukturierten azidophilen Verklumpungen.