Voriges Präparat Index Nächstes Präparat   [a] [b] [c] [d] [e]
 

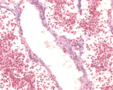
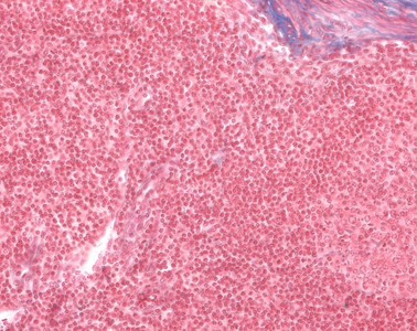
Präparat 33: Lymphknoten, Azan

[Bild]
Trabekel

Bindegewebsbalken, die von der Kapsel des Lymphknotens, aber auch der Milz ins Innere einstrahlen und so ein grobes Gerüst bilden. Die Trabekel führen Äste von Blutgefäßen, die am Hilum in den Lymphknoten eintreten - in der Milz ist das Trabekelwerk in Hilusnähe am stärksten ausgeprägt und führt die aus der A. splenica hervorgehenden Balkenarterien.

Organkapsel

bindegewebige Kapsel mit elastischen Fasernetzen und Kollagenfasern, die einem Organ in seiner Umgebung den nötigen Halt gibt.

Lymphknoten

Filterstationen des Lymphgefäßsystems und Speicher- bzw. Proliferationsorte für B-und T-Lymphozyten. Sie haben eine bindegewebige Kapsel, von der Bindegewebstrabekel ins Innere einstrahlen und ein grobes Bindegewebsgerüst bilden. Das Grundgerüst besteht aus lymphoretikulärem Gewebe, unter der Kapsel befindet sich ein Randsinus, in den die zuführenden Lymphgefäße münden. In der Rinde (Kortex) liegt eine Ansammlung von Sekundärfollikeln. Die innerste Zone ist das Mark aus weitmaschigen Marksinus und lymphozytenreichen, verzweigten Bändern, den Marksträngen.

Intermediärsinus

Die Rinde und die Parakortikalzone radiär passierende sinus des Lymphknotens. Sie verbinden gemeinsam mit den Rindensinus die unter der Kapsel liegenden Randsinus mit den im Inneren gelegenen Marksinus.

Randsinus

erweiterte Bereiche des lymphoretikulären Gewebes der Lymphknoten in dessen Außenzone,die mit den zu- und abführenden Lymphgefäßen kommunizieren.

Oft ziehen bindegewebige Trabekel von der Organkapsel ins Innere des Lymphknotens. Die Trabekel werden von den sog. Intermediärsinus begleitet, die den Randsinus mit den Marksinus verbinden.