Voriges Präparat Index Nächstes Präparat   [a] [b] [c]
 

Präparat 100: Lippe, H.-E.

[Bild]
Mehrschichtiges verhorntes Plattenepithel

bildet die äußere Oberfläche der Haut. Zu differenzieren sind von basal (dem Bindegewebe zugewandt) nach apikal (der Oberfläche zugewandt) folgende Schichten: Stratum basale, Stratum spinosum, Stratum granulosum, Stratum lucidum und Stratum corneum. Stratum basale und Stratum spinosum dienen der Regeneration des Epithelverbandes und werden auch als Stratum germinativum zusammengefasst. Stratum granulosum und Stratum lucidum bilden die Verhornungsschicht. Das Stratum corneum ist die verhornte Schicht, hier haben die zellen ihre Zellkerne verloren und bilden Hornplatten.

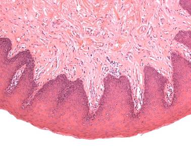
Mehrschichtig unverhorntes Plattenepithel

Epithel innerer Körperoberflächen, die starken mechanischen Belastungen ausgesetzt sind, z.B. Mundhöhle, Ösophagus, Analkanals und Vagina. Es besteht aus mehreren Schichten, deren Zellen unterschiedliche Formen besitzen: Die Zellen des Stratum basale sind hochprismatisch, relativ klein und dicht gepackt, die Zellen des Stratum spinosum sind polygonal geformt und besitzen stachelig erscheinende Ausläufer (daher der Begriff „Stachelzellschicht“. Die Basalzellschicht und die „Stachelzellschicht bilden zusammen die Proliferationszellschicht. Von der Basalzellschicht aus wandern die Zellen an die Oberfläche und verändern dabei ihre Form. Die Zellen der Superfzialschicht sind abgeplattet (daher Plattenepithel). Die Zellkerne sind gut erhalten und bis in die obersten Zellschichten zu erkennen. Das Plattenepithel ist durch Bindegewebspapillen eng mit der Lamina propria verzahnt.

Epidermis

gefäßlose, äußerste Schicht der Haut, besteht aus mehrschichtigem verhornten Plattenepithel, das einen fünfschichtigen Aufbau zeigt: Stratum basale, Stratum spinosum (Stratum basale und Stratum spinosum bilden gemeinsam das Stratum germinativum, die Regenerationsschicht der Haut), Stratum granulosum, Stratum lucidum (Str. granulosum und Str. lucidum bilden die Verhornungsschicht), Stratum corneum (Hornschicht).

Corium

Lederhaut, eine unter der Epidermis gelegene Schicht aus lockerem Bindegewebe mit retikulären, kollagenen und elastischen Fasern. Sie verleiht der Haut Reißfestigkeit und reversible Verformbarkeit. Die Lederhaut enthält Blut- und Lymphgefäße, Nervenaufzweigungen und Nervenendkörperchen sowie Bindegewebszellen und Zellen der Abwehr. Sie zeigt einen zweischichtigen Aufbau: Das Stratum papillare gewährleistet mit seinen Bindegewebspapillen die Verzahnung zwischen Corium und Epidermis. Das Stratum reticulare bildet die Fortsetzung des Papillarkörpers und grenzt an die Subkutis. Es enthält kollagene Fasern, die der Haut Reißfestigkeit verleihen und Netze aus elastischen Fasern, die für die Rückordnung des Fasergeflechtes sorgen.

Radix pili

Haarwurzel, geht aus der Haarzwiebel (Bulbus pili) hervor und ist noch nicht verhornt. Über die keratogene Zone geht die Haarwurzel in den verhornten Haarschaft über.

Glandulae sebacae pilorum

(Talgdrüsen) an Haarbälge gebundene, beeren- oder knollenförmige, mehrlappige Einzeldrüsen aus mehrschichtigem Epithel mit einer Größe von ca.1 mm. In der Drüsenperipherie kommt es durch zahlreiche Mitosen zur ständigen Neubildung von Sebozyten, sie gelangen zum Drüsenzentrum und wandeln sich hier und zum Haarschaft hin in Talg um. Es kommt zur holokrinen Sekretion. Ihr Sekret, der Haartalg, Sebum, macht Haut und Haare geschmeidig.

Das mehrschichtige verhornte Plattenepithel der Gesichtshaut geht mundwärts fließend in ein mehrschichtig unverhorntes Plattenepithel über. Die Abbildung zeigt einen Ausschnitt aus der Gesichtshaut mit Epidermis und darunter liegendem Corium. Neben einem Haartrichter ist eine holokrine Talgdrüse angeschnitten.