| Voriges Präparat | Index | Nächstes Präparat | ![]() |
![]() |
![]() |
![]() |
![]() |
![]() |
![]() |
![]() |
|
![]() |
![]() |
|
|||
|
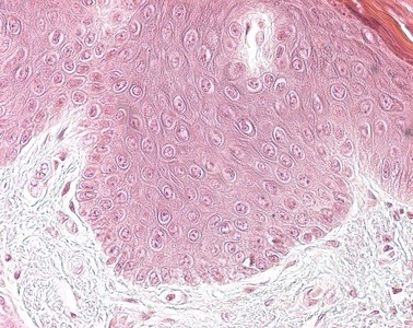
Epidermis
gefäßlose, äußerste Schicht der Haut, besteht aus mehrschichtigem verhornten Plattenepithel, das einen fünfschichtigen Aufbau zeigt: Stratum basale, Stratum spinosum (Stratum basale und Stratum spinosum bilden gemeinsam das Stratum germinativum, die Regenerationsschicht der Haut), Stratum granulosum, Stratum lucidum (Str. granulosum und Str. lucidum bilden die Verhornungsschicht), Stratum corneum (Hornschicht).
Stratum basale, mehrschichtiges Epithel
Basalzellschicht eines mehrschichtigen Epithelverbands. Sie grenzt an das unterliegende Bindegewebe. In ihr finden die Mitosen für den Zellersatz statt. Zusammen mit Anteilen der Intermediärzellschicht ist sie die Regenarationsschicht bzw. Proliferationszone aller mehrschichtigen Epithelien. Von hier steigen die Zellen zur Oberfläche des Epithelverbands auf und machen dabei eine Reifung durch. Die Basalzellen sitzen auf einer Basallamina, mit der sie durch Hemidesmosomen verbunden sind.
Stratum spinosum
Intermediärzellschicht, "Stachelzellschicht" eines mehrschichtigen Plattenepithels; die Schicht enthält relativ große runde oder polygonale Zellen, die durch Desmosomen miteinander verbunden sind. Durch artefizielle Vergrößerung des Interzellularraumes (z.B. durch Schrumpfung der Zellleiber durch histotechnische Behandlung) treten die Abschnitte der mit Desmosomen besetzten Zelloberflächen deutlich hervor, hierdurch entsteht der Eindruck von stachelförmigen Fortsätzen, daher der Name "Stachelzellschicht".
Stratum granulosum, Epidermis
Körnerschicht; bildet zusammen mit dem Stratum lucidum die Verhornungsschicht der Haut. Die weitgehend abgeplatteten Zellen enthalten basophile Granula, die Keratohyalinkörper, sowie lamellierte, membranumschlossene Granula. Die Keratohyalinkörper stellen Vorläufer des Keratins dar und dienen der Verhornung der Zellen. Der Inhalt der lamellierten Granula wird von den Zellen in den Interzellularraum abgegeben, wo er sich in Richtung des Stratum lucidum ausbreitet und gemeinsam mit den Zellen der Hornschicht eine Barriere bildet, die den Verlust von Körperflüssigkeiten über den Interzellularraum verhindert.
Stratum lucidum
bildet gemeinsam mit dem Stratum granulosum die Verhornungsschicht. Als durchgehende Schicht ist es jedoch nur in Arealen mit stark ausgeprägter Hornschicht, der sog. Leistenhaut (Handfläche, Fußsohle) vorhanden.
Stratum corneum
Hornschicht, äußerste Schicht des mehrschichtig verhornten Plattenepithels (Epidermis). Hier verbinden sich die nun komplett mit Keratin gefüllten und abgestorbenen Keratinozyten untereinander durch Kittsubstanz zu Platten, die als Hornschuppen abgestoßen werden.
Stratum germinativum
aus Stratum basale und Stratum spinosum bestehende Regenerationsschicht der Haut. Die Mehrzahl der Mitosen zum Ersatz der an der Oberfläche abgestoßenen verhornten Zellen findet im Stratum basale statt. Eine der beiden aus einer Mitose hervorgegangenen Tochterzellen wandert als Keratinozyt zur Oberfläche, während die andere Tochterzelle den Kontakt zur Basalmembran beibehält und sich erneut teilt. Im Stratum spinosum, der Stachelzellschicht, finden sich vergrößerte runde oder polygonale Zellen, die durch stachelförmige Fortsätze über Desmosomen miteinander in Verbindung stehen. |
||
|
Bei höherer Vergrößerung lassen sich die Schichten der Epidermis unterscheiden: Stratum basale, Stratum spinosum, Stratum granulosum, Stratum lucidum, Stratum corneum. Stratum basale und Stratum spinosum werden als Stratum germinativum zusammengefasst. |
|||