Voriges Präparat Index Nächstes Präparat   [a] [b] [c] [d]
 

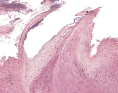
Präparat 49: Zunge (Affe), Papillae filiformes, H.-E.

[Bild]
Papilla filiformis

fadenförmiger Papillen, die besonders häufig sind und den gesamten Zungenrücken bedecken. Ihr bindegewebiger Grundstock wird von Primärpapillen der Lamina propria gebildet, die sich wiederum in Sekundärpapillen aufteilen. Lokal zeigen sich Verhornungsprozesse des Papillenepithels, die Spitzen der Papillen sind mit ihren Hornschuppen rachenwärts geneigt. Papillae filiformes dienen mechanischen und taktilen Aufgaben.

Mehrschichtiges verhorntes Plattenepithel

bildet die äußere Oberfläche der Haut. Zu differenzieren sind von basal (dem Bindegewebe zugewandt) nach apikal (der Oberfläche zugewandt) folgende Schichten: Stratum basale, Stratum spinosum, Stratum granulosum, Stratum lucidum und Stratum corneum. Stratum basale und Stratum spinosum dienen der Regeneration des Epithelverbandes und werden auch als Stratum germinativum zusammengefasst. Stratum granulosum und Stratum lucidum bilden die Verhornungsschicht. Das Stratum corneum ist die verhornte Schicht, hier haben die zellen ihre Zellkerne verloren und bilden Hornplatten.

Stratum corneum

Hornschicht, äußerste Schicht des mehrschichtig verhornten Plattenepithels (Epidermis). Hier verbinden sich die nun komplett mit Keratin gefüllten und abgestorbenen Keratinozyten untereinander durch Kittsubstanz zu Platten, die als Hornschuppen abgestoßen werden.

Geschmacksknospen

Caliculi gustatorii, sie bilden zusammen mit freien Nervenendigungen der Zungenschleimhaut das Geschmacksorgan, Organum gustus. Die Geschmacksknospen liegen gehäuft im Epithel der Papillae vallatae und foliatae im hinteren Drittel der Zunge. Sie bestehen aus Stütz- und Geschmackszellen, die zwiebelschalenartig aneinandergelagert sind. Zur Mundhöhle öffnet sich jede Geschmacksknospe mit einem Geschmacksgrübchen, Porus gustatorius. In diese Öffnung ragen Mikrovilli der Geschmackszellen mit Chemorezeptoren hinein. Die Geschmackszellen gehören zu den sekundären Sinneszellen, sie werden korbgeflechtartig von Nervenfasern aus den sensorischen Ganglien umhüllt.

Im Bereich der Papillae filiformes liegt ein mehrschichtiges verhorntes Plattenepithel vor: An den Spitzen der Papillen befinden sich hornig-fädige Ausläufer des Stratum corneum. Die Hornschicht kann allerdings abgebrochen oder abgeschilfert sein. Der Verhornungsgrad der Zungenpapillen variiert von Art zu Art (hier: Affe) und auch in Abhängigkeit von der mechanischen Belastung. In den Papillae filiformes liegen keine Geschmacksknospen, sie haben mechanische und taktile Aufgaben.