Voriges Präparat Index Nächstes Präparat   [a] [b] [c]
 

Präparat 46: Zahn, extrahiert und entkalkt, H.-E.

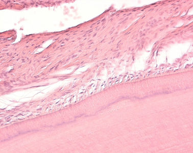
[Bild]
Dentin

Zahnbein; besteht aus anorganischen Bestandteilen (ca. 90 %), organischer Matrix (ca. 20 % ) und Wasser (ca. 10%). Dentin wird von den Odontoblasten gebildet, sie haben einen langen Fortsatz, der in Dentinkanälchen bis an die Grenze des Dentins zieht. Hierdurch entsteht die charakteristische radiäre Streifung des Dentins. Die Kanälchen sind von einer festen, dichten Hülle von peritubulärem Dentin umgeben (Neumann-Scheide), dazwischen findet sich das weniger dichte intertubuläre Dentin mit vorwiegend in Längsrichtung des Zahns verlaufenden Kollagenfasern. Das weniger dicht mineralisierte Manteldentin bildet die dem Schmelz zugewandte Oberfläche.

Radiärstreifung

durch den Verlauf der Dentinkanälchen hervorgerufene Streifung des Dentins.

Tomes-Fasern

apikale, sich begrenzt verzweigende Fortsätze der Odontoblasten; sie verlaufen in den Dentinkanälchen. Die Zellleiber der Odontoblasten liegen außerhalb des Dentins, an der Grenze zwischen Dentin und Zahnpulpa.

Odontoblasten

Dentinbildner; sind aus der mesenchymalem Zahnpapille enstanden und können zeitlebens Dentin bilden. Dentin entsteht durch Mineralisierung von unverkalktem Prädentin. Die Dentinbildung beginnt am Ende des 4. Embryonalmonats. Die langen Fortsätze der reiferen Odontoblasten (Tomes-Fasern) werden schließlich von Dentin eingemauert. Die Zelllleiber der Odontoblasten liegen stets außerhalb des Dentins, in der äußersten Schicht der Zahnpulpa.

Zahnpulpa

das Cavum dentis und die Wurzelkanäle füllendes lockeres Bindegewebe, dessen Fibrozyten ein dreidimensionales Netzwerk bilden. Neben undifferenzierten Mesenchymzellen und freien Bindegewebszellen finden sich an der Grenze zum Dentin die palisadenförmig angeordneten Odontoblasten. Die Pulpa weist eine dichte Vaskularisation und Innervation auf, vereinzelt dringen marklose Nervenfasern in Dentinkanälchen ein.

Dentin erscheint bei offener Kondensorblende fast strukturlos, beim Schließen der Blende wird die feine, typische Radiärstreifung des Dentins sichtbar. Diese Streifung wird durch feine Kanälchen im Dentin erzeugt, in denen Zellfortsätze (Tomes-Fasern) der dentinbildenden Odontoblasten verlaufen. Die Zellleiber der Odontoblasten sind nicht in das Dentin eingemauert, sie sind palisadenförmig an der Grenze zum Dentin aufgereiht und gehören zur Zahnpulpa, die im Inneren lockeres Bindegewebe mit freien Zellen, Gefäßen und Nerven enthält.