Voriges Präparat Index Nächstes Präparat   [a] [b] [c] [d]
 

Präparat 6: Trachea (Affe), Querschnitt, H.-E.

[Bild]
Bindegewebe

Bindegewebe ist deutlich anders aufgebaut als Epithel. Im Epithelverband liegen die Zellen dicht an dicht, die Interzellularräume sind eng. Das Bindegewebe enthält weniger Zellen und große Interzellularräume. Die ortsständigen Zellen im Bindegewebe sind Fibroblasten/Fibrozyten. Außerdem kommen "freie" Zellen vor, die in das Bindegewebe einwandern oder es verlassen können und der Abwehr dienen. Die großen Interzellularräume des Bindegewebes enthalten Wasser und die extrazelluläre Matrix (amorphe Grundsubstanz und retikuläre, kollagene oder elastsiche Fasern), die von den ortsständigen Zellen gebildet wird. Bindegewebe ist im Körper weit verbreitet.

Lamina propria mucosae, Trachea

untere Schicht der Tunica mucosa der Trachea aus lockerem Bindegewebe mit elatischen Netzen, die sich zu einer dichten Schicht, der Lamina fibrarum elasticarum, zusammenschließen. Sie enthält die seromukösen Glandulae tracheales.

Glandulae tracheales

In der Lamina propria der Tunica mucosa liegende seromuköse Drüsen.

Ausführungsgänge

Verbindungen von exokrinen Drüsen mit inneren oder äußeren Oberflächen

Lymphozyten

gehören zu den Leukozyten. Morphologisch können kleine und große Lymphozyten unterschieden werden. Die kleinen Lymphozyten (Durchmesser von 6-8 µm) weisen einen runden, intensiv angefärbten Zellkern auf, der von einem sehr schmalen Zytoplasmasaum umgeben ist. Funktionell und immunhistochemisch werden bei diesem Zelltyp der zellulären Immunität dienende T-Lymphozyten von antikörper-produzierenden B-Lymphozyten unterschieden. Die großen Lymphozyten haben einen Durchmesser von 8-12 µm; sie besitzen eine ovalen Zellkern. Die für T- oder B-Lymphozyten charakteristischen Oberflächenmoleküle fehlen meist, man bezeichnet sie daher auch als Non-T- bzw. Non-B-Zellen.

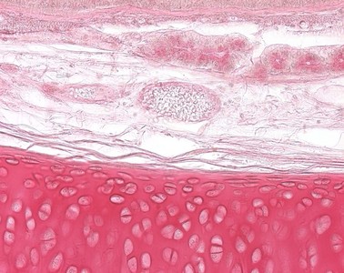
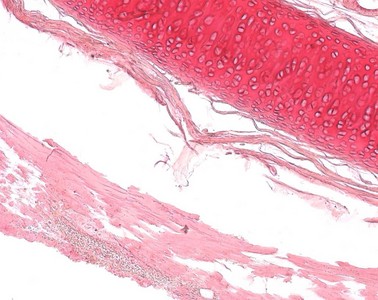
Knorpelspange

hufeisenförmige Cartilagines tracheales aus hyalinem Knorpel, die der Wandversteifung der Trachea dienen.

Hyaliner Knorpel

makroskopisch bläulich- milchglasartig, kommt im Gelenkknorpel, am Ansatz der Rippen am Brustbein, in den Wachstumsfugen und in Trachea und großen Bronchien vor. Kollagen vom Typ II ist im hyalinen Knorpel vorherrschend. Die Kollagenfasern sind jedoch durch die Grundsubstanz maskiert und mit histologischen Routinefärbungen nicht darzustellen, sie sind jedoch mit dem Elektronenmikroskop sowie polarisationsmikroskopisch nachweisbar. Bei degenerativen Veränderungen können die Kollagenfasern "demaskiert" werden (sog. Asbestfaserung).

Tunica fibromusculocartilaginea

Dieses "Skelett" der Trachea enthält als charakteristische Bestandteile 16-20 hufeisenförmige Knorpelspangen (Cartilagines tracheales) aus hyalinem Knorpel, die durch Ligamenta anularia (Kollagenfasergeflechte) und elastische Geflechte, die in das Perichondrium einstrahlen, verbunden sind. Der glatte M.trachealis, im Paries membranaceus gelegen, verbindet dorsalwärts die freien Enden der Knorpelspangen.

Perichondrium

den Knorpel begrenzendes Bindegewebe (Knorpelhaut), besteht aus dem zellreichen Stratum cellulare, das dem Knorpel unmittelbar anliegt, und dem Stratum fibrosum mit straff angeordneten Kollagenfasern. Vom Stratum cellulare des Perichondrium geht die Knorpelneubildung aus. Gelenkknorpel besitzen kein Perichondrium und können deshalb nicht regenerieren.

Im Bindegewebe der Lamina propria finden sich seromuköse Glandulae tracheales, deren Ausführungsgänge, zahlreiche Kapillaren, arterielle und venöse Blutgefäße und gelegentlich periphere Nerven. Auch sind an einigen Stellen Ansammlungen von Lymphozyten zu erkennen. Die Knorpelspangen (hyaliner Knorpel) der Tunica fibromusculocartilaginea werden von einem Perichondrium aus straffem kollagenen Bindegewebe umgeben.