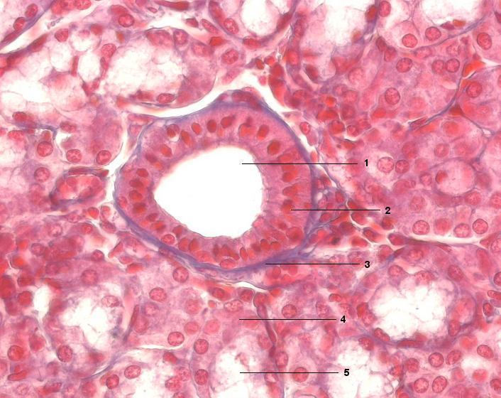
1 Ausführungsgang (Lumen)
2 Zweireihiges hochprismatisches Epithel
3 Kollagenes Bindegewebe
4 Seröse Endkappe (v. Ebner-Halbmond)
5 Muköser Tubulus
[drucken] Drucken
[zum interaktiven Modus]