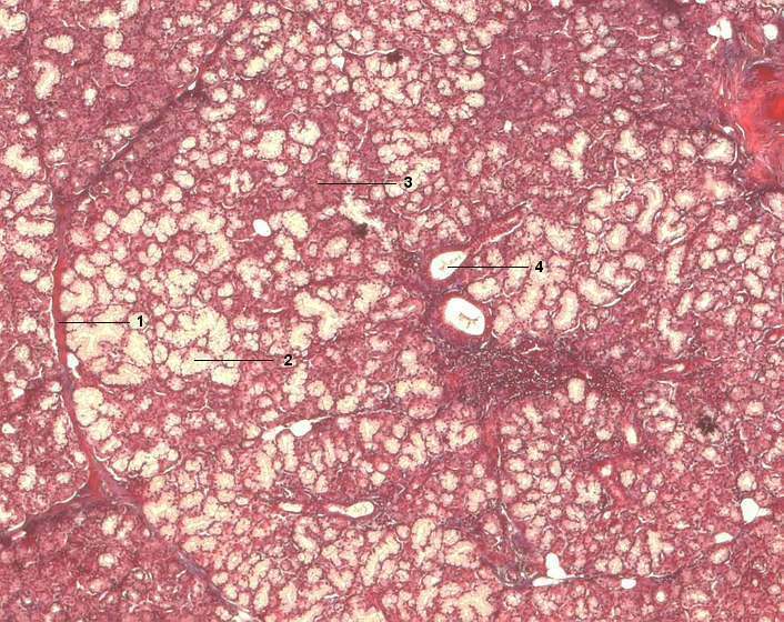
1 Interlobuläres Bindegewebe
2 Muköser Tubulus
3 Seröse Endstücke
4 Ausführungsgang
[drucken] Drucken
[zum interaktiven Modus]