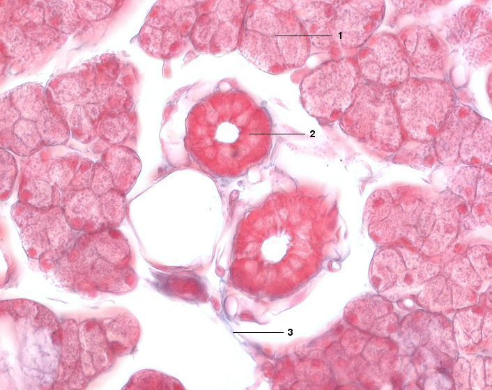
1 Seröser Azinus
2 Streifenstück
3 Kollagenes Bindegewebe
[drucken] Drucken
[zum interaktiven Modus]