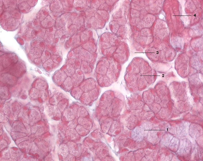
1 Muköser Tubulus
2 Seröser Azinus
3 Intralobuläres Bindegewebe
4 Schaltstück (längs)
[drucken] Drucken
[zum interaktiven Modus]