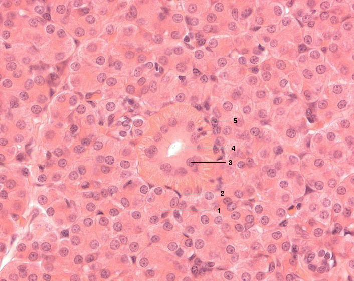
1 Seröses Endstück
2 Myoepithelzelle
3 Streifenstück, Zellkern einer Epithelzelle
4 Zentrales Lumen eines Streifenstücks
5 Basale Streifung
[drucken] Drucken
[zum interaktiven Modus]