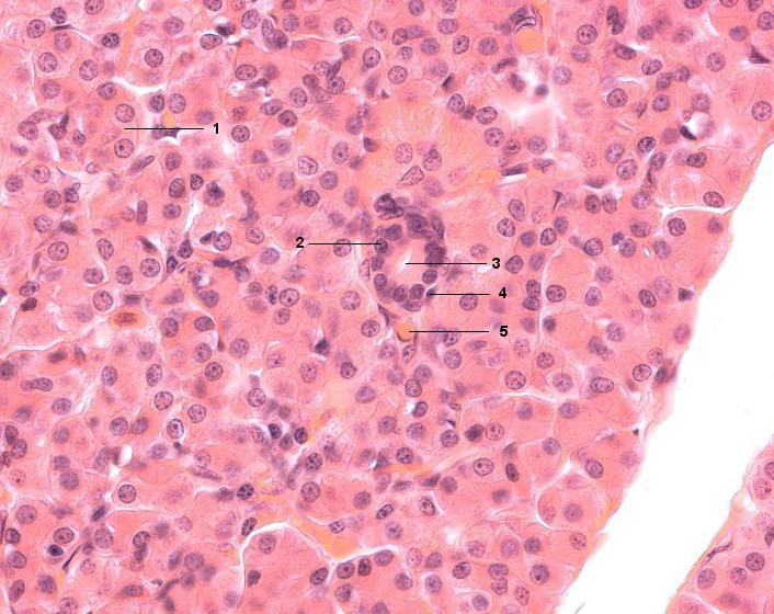
1 Seröser Azinus
2 Schaltstück (isoprismatische Epithelzelle)
3 Schaltstück (Lumen)
4 Myoepithelzelle (Zellkern)
5 Kapillare
[drucken] Drucken
[zum interaktiven Modus]