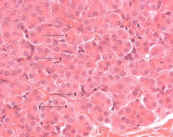
1 Seröses Endstück (Azinus)
2 Drüsenepithelzelle (Zellkern)
3 Bindegewebsseptum
4 Fibrozyt (Zellkern)
[drucken] Drucken
[zum interaktiven Modus]