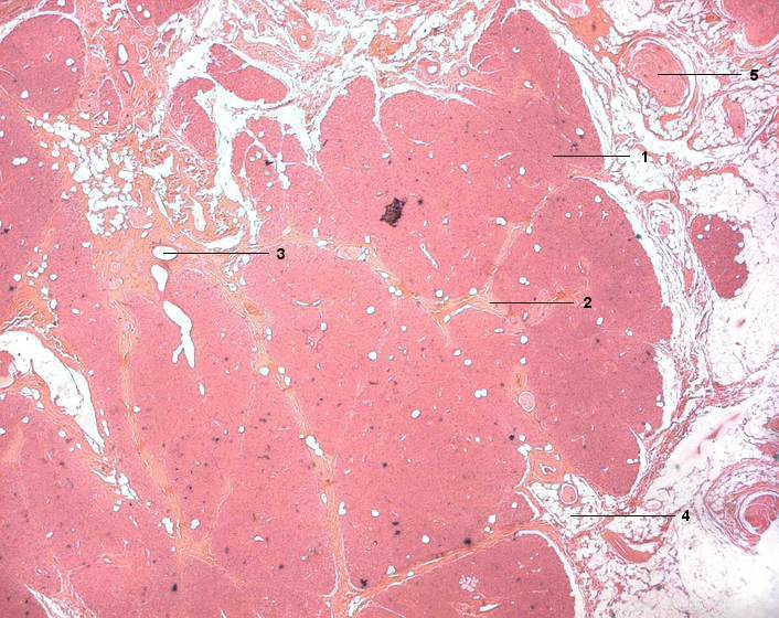
1 Lobulus
2 Septum interlobulare
3 Interlobulärer Ausführungsgang
4 Univakuoläres Fettgewebe
5 Peripherer Nerv
[drucken] Drucken
[zum interaktiven Modus]