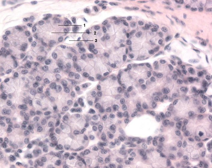
1 Seröses Endstück
2 Azinuslichtung
3 Kapillare
[drucken] Drucken
[zum interaktiven Modus]