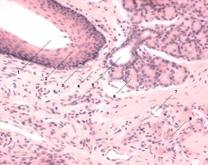
1 Wallgraben
2 Mehrschichtiges Plattenepithel
3 Stratum basale
4 Lamina propria
5 Ausführungsgang einer Spüldrüse
6 Drüsenazinus einer Spüldrüse
7 Venole
8 Ganglienzelle
[drucken] Drucken
[zum interaktiven Modus]