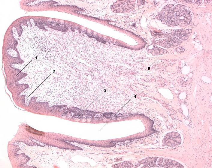
1 Mehrschichtiges unverhorntes Plattenepithel
2 Lamina propria, Sekundärpapille
3 Geschmacksknospe
4 Wallgraben
5 Seröse Spüldrüsen (v. Ebner-Spüldrüsen)
[drucken] Drucken
[zum interaktiven Modus]