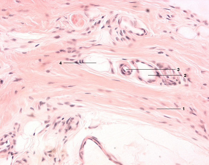
1 Lamina propria, kollagenes Bindegewebe
2 Venole
3 Arteriole
4 Lymphgefäß
[drucken] Drucken
[zum interaktiven Modus]