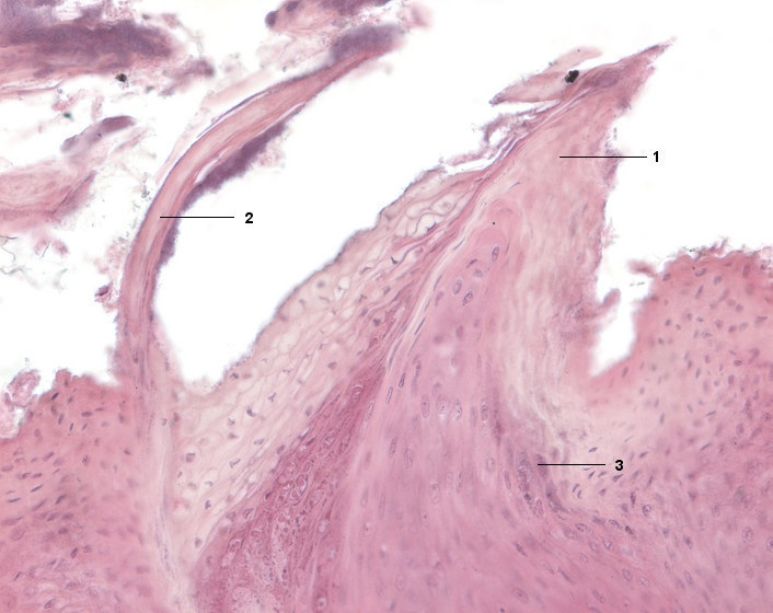
1 Papilla filiformis, Hornzipfel
2 Stratum corneum
3 Stratum granulosum
[drucken] Drucken
[zum interaktiven Modus]