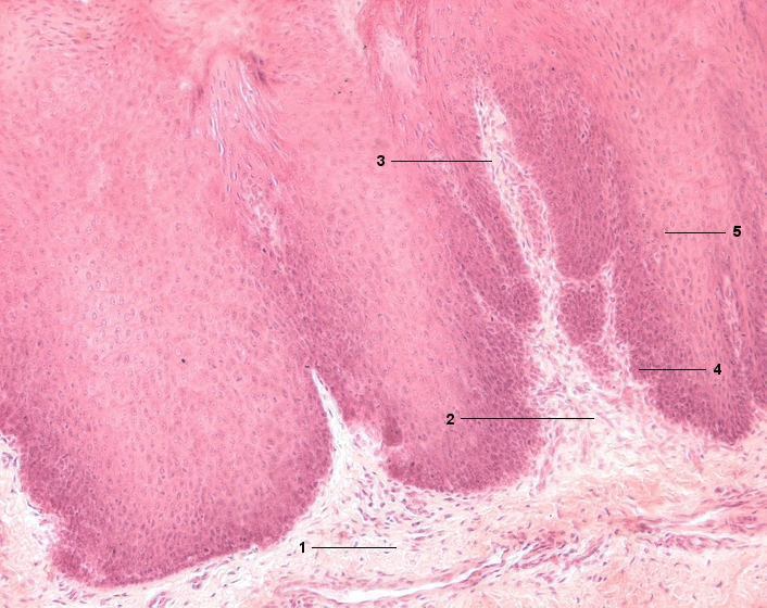
1 Lamina propria mucosae
2 Primärpapille (Papillenstock)
3 Sekundärpapille
4 Lamina epithelialis, Statum basale
5 Stratum spinosum
[drucken] Drucken
[zum interaktiven Modus]