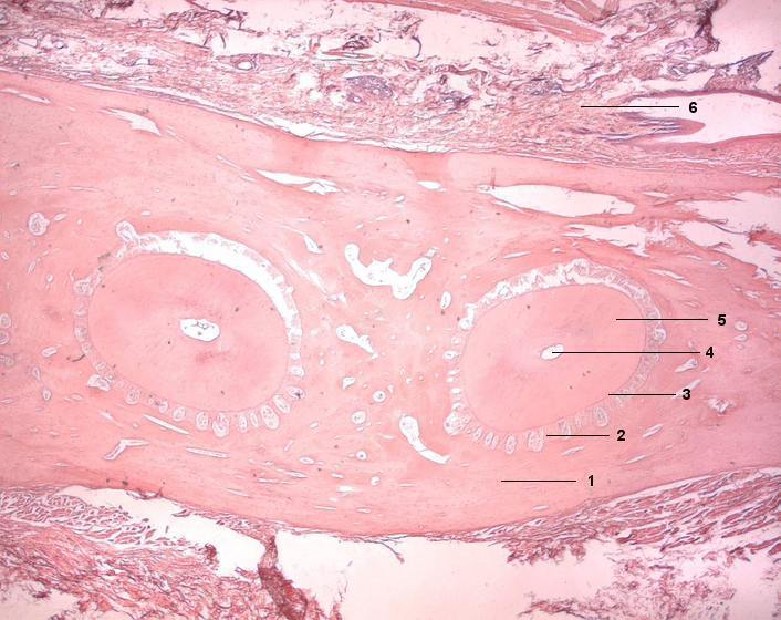
1 Alveolarknochen
2 Periodontium (Wurzelhaut)
3 Zement
4 Pulpahöhle
5 Dentin
6 Bindegewebe der Gingiva
[drucken] Drucken
[zum interaktiven Modus]