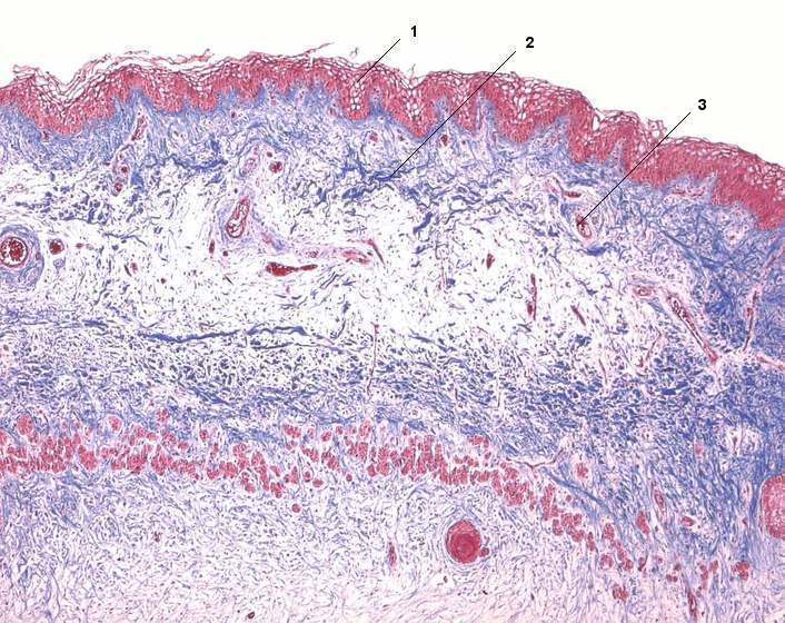
1 Mehrschichtiges unverhorntes Plattenepithel
2 Kollagene Fasern der Gingiva
3 Blutgefäß
[drucken] Drucken
[zum interaktiven Modus]