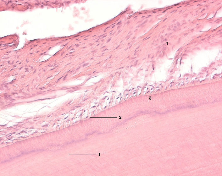
1 Dentin
2 Dentin-Zement-Grenze
3 Zementozyt
4 Periodontium (Wurzelhaut) mit Sharpey-Fasern
[drucken] Drucken
[zum interaktiven Modus]