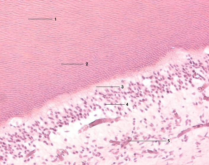
1 Dentin
2 Dentinkanälchen mit Tomes-Fasern
3 Tomes-Fasern
4 Odontoblast (Außenzone der Zahnpulpa)
5 Kapillare
[drucken] Drucken
[zum interaktiven Modus]