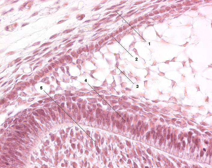
1 Zahnsäckchen
2 Äußeres Schmelzepithel
3 Schmelzpulpa
4 Inneres Schmelzepithel
5 Zahnpapille
6 Membrana praeformativa
[drucken] Drucken
[zum interaktiven Modus]