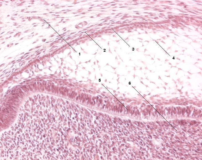
1 Kiefermesenchym
2 Zahnsäckchen
3 Äußeres Schmelzepithel
4 Schmelzpulpa
5 Inneres Schmelzepithel
6 Zahnpapille
[drucken] Drucken
[zum interaktiven Modus]