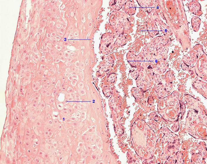
1 Basalplatte, Dezidua
2 Deziduazelle
3 Subchoriales (Nitabuchsches) Fibrinoid
4 Chorionzotte
5 Intervillöser Raum mit Erythrozyten
6 Synzytiotrophoblastzellen
[drucken] Drucken
[zum interaktiven Modus]