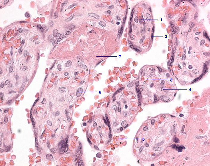
1 Chorionzotte
2 Synzytiotrophoblast
3 Kapillare mit fetalem Blut
4 Zottenstroma, Fibroblast
5 Intervillöser Raum mit maternalem Blut
6 Hofbauer-Zelle (Makrophage)
7 Rohrsches Fibrinoid
[drucken] Drucken
[zum interaktiven Modus]