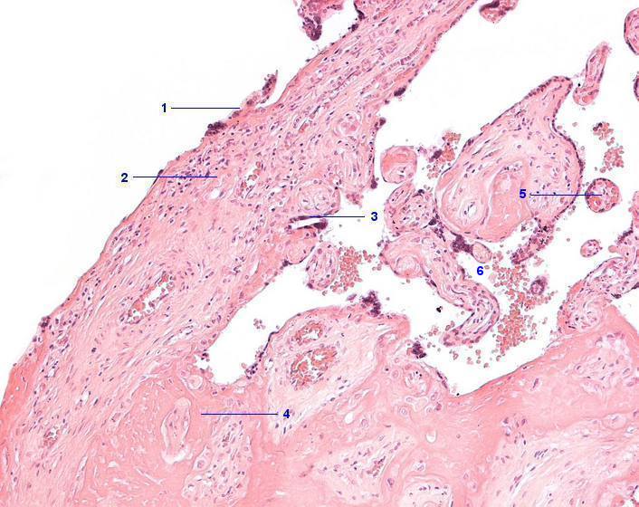
1 Amnionepithel
2 Chorionplatte
3 Chorionepithel, Synzytiotrophoblast
4 Fibrinoid
5 Chorionzotte
6 Intervillöser Raum
[drucken] Drucken
[zum interaktiven Modus]