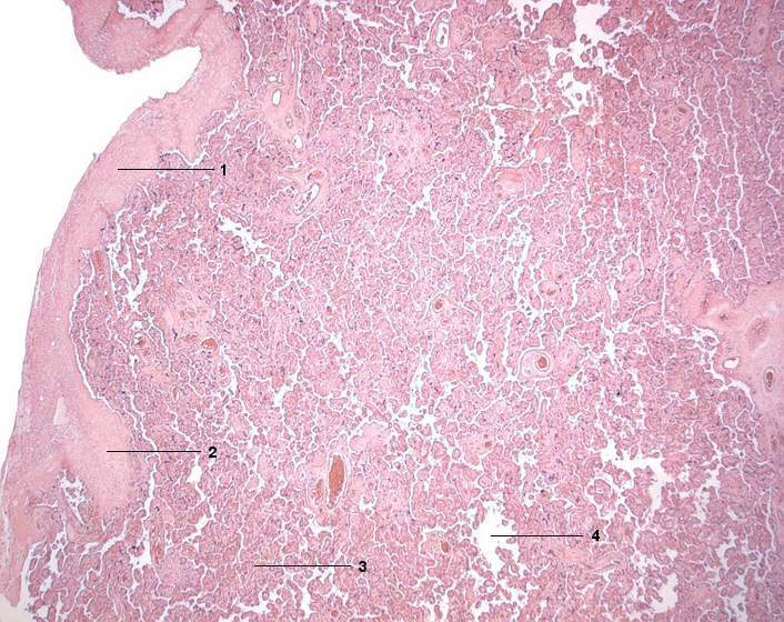
1 Chorionplatte
2 Zottenstamm
3 Chorionzotten
4 Intervillöser Raum
[drucken] Drucken
[zum interaktiven Modus]